Caveman was buried like a woman, leading scientists to question his sexual orientation.

Photo: ZUMA Press
Caveman was buried like a woman, leading scientists to question his sexual orientation.

Photo: ZUMA Press
| Publicado em 27/11/2014, às 15h50 | |||||
| Última atualização em 27/11/2014, às 15h50 | |||||
Brasília Os governadores do Rio de Janeiro, Luiz Fernando Pezão (PMDB), de São Paulo, Geraldo Alckmin (PSDB), e de Minas Gerias, Alberto Pinto Coelho (interino) firmaram, durante reunião em Brasília realizada na manhã de ontem, um acordo para realizar a transposição do Rio Paraíba do Sul. As licitações para as obras estão liberadas e podem começar a qualquer momento. O encontro foi convocado pelo ministro Luiz Fux, do Supremo Tribunal Federal (STF), que atuou como mediador. Para chegar a esse acordo, os três governadores concordaram que só serão permitidas obras das quais os três Estados concordem. Além disso, eles se comprometeram em respeitar, nas obras, estudos de impactos ambiental e realizar ações de compensação ao meio ambiente, como a recuperação de matas ciliares, por exemplo. O advogado geral da União, Luís Inácio Adams, o procurador-geral da República, Rodrigo Janot, e a ministra do Meio Ambiente, Izabella Teixeira, também participaram da reunião. Todos se comprometeram em entregar a Fux, no dia 28 de fevereiro, um documento com os termos do acordo. Com isso, todas as ações judiciais que tratam do tema serão extintas. O ministro elogiou o acordo firmado entre as partes e disse que todos cederam. – Os estados manifestaram interesse mútuo em se ajudar. Uma ação jurídica jamais chegaria à solução que conseguimos hoje. Com isso, será feito um acordo técnico, que já está bastante adiantado, buscando uma solução conjunta para a questão. Com o cumprimento das normas estabelecidas no acordo, serão extintas as ações no Ministério Público sobre o tema – disse Fux. Sem problemas Após a reunião, os três governadores deram entrevistas dizendo que todos os Estados vão ganhar com o acordo. Por sua vez, Pezão e Coelho, fizeram questão de tranquilizar a população dos seus Estados afirmando que ficará garantido o volume de água para uso futuro de seus moradores. O governador do Rio de Janeiro ainda ressaltou que o acordo será focado na preservação ambiental. – Falta pouco para fecharmos esse acordo. Está previsto um grande programa de reflorestamento, de tratamento do esgoto da Baixada Fluminense e de municípios como Resende e Barra Mansa. As equipes técnicas que cuidarão disso já estão fechadas, sob o comando do Ministério do Meio Ambiente. É muito importante a solidariedade dos três entes federativos. A população dos três estados vai ganhar com isso – explicou Pezão. O governador de São Paulo, Geraldo Alckmin, exaltou a parceria entre os estados. – Vamos nos debruçar sobre isso. Estamos confiantes em poder garantir a vazão no Rio de Janeiro e fazer a interligação em São Paulo. A participação de Minas Gerais também será importantíssima – disse Alckmin. Entenda o caso No início da crise hídrica deste ano, o governo de São Paulo anunciou que faria uma obra para transpor água do Rio Jaguari, de São Paulo, para as represas do sistema Cantareira, que opera com 9,1% de sua capacidade. Os Estados do Rio e de Minas reclamaram da decisão porque a água do Jaguari está em São Paulo, mas abastece o Rio Paraíba do Sul, usado por parte de São Paulo e pelos outros dois Estados. O governo de São Paulo alegava que tinha direito a fazer a obra pelo rio estar em seu Estado. O procurador-geral da República, Rodrigo Janot, entrou então com uma ação no STF para barrar a decisão de São Paulo. O ministro responsável pela ação, Luiz Fux, convocou uma audiência de conciliação nesta quinta-feira com a presença dos governadores dos três Estados, Geraldo Alckmin (SP), Luiz Fernando Pezão (RJ) e Alberto Pinto Coelho (MG), além de representantes do governo federal. |
|||||
Date: November 19, 2014
Summary: Our natural gut-residing microbes can influence the integrity of the blood-brain barrier, which protects the brain from harmful substances in the blood, a new study in mice shows. The blood-brain barrier is a highly selective barrier that prevents unwanted molecules and cells from entering the brain from the bloodstream.

Uptake of the substance Raclopride in the brain of germ-free versus conventional mice. Credit: Miklos Toth
A new study in mice, conducted by researchers at Sweden’s Karolinska Institutet together with colleagues in Singapore and the United States, shows that our natural gut-residing microbes can influence the integrity of the blood-brain barrier, which protects the brain from harmful substances in the blood. According to the authors, the findings provide experimental evidence that our indigenous microbes contribute to the mechanism that closes the blood-brain barrier before birth. The results also support previous observations that gut microbiota can impact brain development and function.
The blood-brain barrier is a highly selective barrier that prevents unwanted molecules and cells from entering the brain from the bloodstream. In the current study, being published in the journal Science Translational Medicine, the international interdisciplinary research team demonstrates that the transport of molecules across the blood-brain barrier can be modulated by gut microbes — which therefore play an important role in the protection of the brain.
The investigators reached this conclusion by comparing the integrity and development of the blood-brain barrier between two groups of mice: the first group was raised in an environment where they were exposed to normal bacteria, and the second (called germ-free mice) was kept in a sterile environment without any bacteria.
“We showed that the presence of the maternal gut microbiota during late pregnancy blocked the passage of labeled antibodies from the circulation into the brain parenchyma of the growing fetus,” says first author Dr. Viorica Braniste at the Department of Microbiology, Tumor and Cell Biology at Karolinska Institutet. “In contrast, in age-matched fetuses from germ-free mothers, these labeled antibodies easily crossed the blood-brain barrier and was detected within the brain parenchyma.”
The team also showed that the increased ‘leakiness’ of the blood-brain barrier, observed in germ-free mice from early life, was maintained into adulthood. Interestingly, this ‘leakiness’ could be abrogated if the mice were exposed to fecal transplantation of normal gut microbes. The precise molecular mechanisms remain to be identified. However, the team was able to show that so-called tight junction proteins, which are known to be important for the blood-brain barrier permeability, did undergo structural changes and had altered levels of expression in the absence of bacteria.
According to the researchers, the findings provide experimental evidence that alterations of our indigenous microbiota may have far-reaching consequences for the blood-brain barrier function throughout life.
“These findings further underscore the importance of the maternal microbes during early life and that our bacteria are an integrated component of our body physiology,” says Professor Sven Pettersson, the principal investigator at the Department of Microbiology, Tumor and Cell Biology. “Given that the microbiome composition and diversity change over time, it is tempting to speculate that the blood-brain barrier integrity also may fluctuate depending on the microbiome. This knowledge may be used to develop new ways for opening the blood-brain-barrier to increase the efficacy of the brain cancer drugs and for the design of treatment regimes that strengthens the integrity of the blood-brain barrier.”
Journal Reference:
Cálculo é de novo centro de pesquisa, que vai detectar tremores em 80 pontos do país
Quatro instituições unem-se esta sexta-feira para formar o Serviço Sismológico Nacional. Os centros de pesquisa calculam que o país registra um terremoto de magnitude maior do que 6 graus na escala Richter a cada 50 anos, aproximadamente — o último foi em 1955, no noroeste de Mato Grosso, com índice de 6,2 graus. O tremor foi sentido em Cuiabá, a 370 km de distância.
As universidades de São Paulo (USP), de Brasília (UnB) e a Federal do Rio Grande do Norte (UFRN) trabalharão sob a coordenação do Observatório Nacional. O grupo mantém cerca de 80 estações sismológicas no país e registros iniciados em 1767. A mais recente foi inaugurada no mês passado, na Ilha de Trindade, a cerca de 1,2 mil quilômetros ao leste de Vitória, no Espírito Santo.
Leia mais sobre esse assunto em http://oglobo.globo.com/sociedade/ciencia/brasil-registra-um-grande-terremoto-cada-50-anos-14681727#ixzz3KMSImin8
(Renato Grandelle / O Globo)
AP
Posted: 26/11/2014 20:17 GMT Updated: 26/11/2014 20:59 GMT
Earth is wrapped in an invisible force field that scientists have compared with the “shields” featured in Star Trek. A US team discovered the barrier, some 7,200 miles above the Earth’s surface, that blocks high energy electrons threatening astronauts and satellites.
Scientists identified an “extremely sharp” boundary within the Van Allen radiation belts, two large doughnut-shaped rings held in place by the Earth’s magnetic field that are filled with fast-moving particles. Lead researcher Professor Daniel Baker, from the University of Colorado at Boulder, said: “It’s almost like these electrons are running into a glass wall in space.
Artists impression of a doughnut-shaped brick wall to illustrate an invisible “shield” discovered US scientists that is 7,200 miles above the Earth in the Van Allen radiation belts, which blocks high energy electrons that threaten astronauts and satellites
“Somewhat like the shields created by force fields on Star Trek that were used to repel alien weapons, we are seeing an invisible shield blocking these electrons. It’s an extremely puzzling phenomenon.”
The team originally thought the highly charged electrons, which loop around the Earth at more than 100,000 miles per second, would slowly drift downward into the upper atmosphere. But a pair of probes launched in 2012 to investigate the Van Allen belts showed that the electrons are stopped in their tracks before they get that far.
The nature of the force field remains an unsolved mystery. It does not appear to be linked to magnetic field lines or human-generated radio signals, and scientists are not convinced that a cloud of cold electrically charged gas called the plasmasphere that stretches thousands of miles into the outer Van Allen belt can fully explain the phenomenon either.
Prof Baker added: “I think the key here is to keep observing the region in exquisite detail, which we can do because of the powerful instruments on the Van Allen probes.” The research is reported in the journal Nature.
Date:
November 26, 2014
Source:
University of Wisconsin-Madison
Summary:
El Nino is not a contemporary phenomenon; it’s long been the Earth’s dominant source of year-to-year climate fluctuation. But as the climate warms and the feedbacks that drive the cycle change, researchers want to know how El Nino will respond.
Using state-of-the-art computer models maintained at the National Center for Atmospheric Research, researchers determined that El Niño has intensified over the last 6,000 years. This pier and cafe are in Ocean Beach, California. Credit: Jon Sullivan
It was fishermen off the coast of Peru who first recognized the anomaly, hundreds of years ago. Every so often, their usually cold, nutrient-rich water would turn warm and the fish they depended on would disappear. Then there was the ceaseless rain.
They called it “El Nino,” The Boy — or Christmas Boy — because of its timing near the holiday each time it returned, every three to seven years.
El Nino is not a contemporary phenomenon; it’s long been Earth’s dominant source of year-to-year climate fluctuation. But as the climate warms and the feedbacks that drive the cycle change, researchers want to know how El Nino will respond. A team of researchers led by the University of Wisconsin’s Zhengyu Liu published the latest findings in this quest Nov. 27, 2014 in Nature.
“We can’t see the future; the only thing we can do is examine the past,” says Liu, a professor in the Department of Atmospheric and Oceanic Sciences. “The question people are interested in now is whether it’s going to be stronger or weaker, and this requires us to first check if our model can simulate its past history.”
The study examines what has influenced El Nino over the last 21,000 years in order to understand its future and to prepare for the consequences. It is valuable knowledge for scientists, land managers, policymakers and many others, as people across the globe focus on adapting to a changing climate.
Using state-of-the-art computer models maintained at the National Center for Atmospheric Research in Colorado, the researchers — also from Peking University in China, the University of Hawaii at Manoa, and Georgia Institute of Technology — determined that El Nino has intensified over the last 6,000 years.
The findings corroborate data from previous studies, which relied on observations like historical sediments off the Central American coast and changes in fossilized coral. During warm, rainy El Nino years, the coastal sediments consist of larger mixed deposits of lighter color, and the coral provides a unique signature, akin to rings on a tree.
“There have been some observations that El Nino has been changing,” says Liu, also a professor in the Nelson Institute for Environmental Studies Center for Climatic Research. “Previous studies seem to indicate El Nino has increased over the last 5,000 to 7,000 years.”
But unlike previous studies, the new model provides a continuous look at the long history of El Nino, rather than a snapshot in time.
It examines the large-scale influences that have impacted the strength of El Nino over the last 21,000 years, such as atmospheric carbon dioxide, ice sheet melting and changes to Earth’s orbit.
El Nino is driven by an intricate tango between the ocean and Earth’s atmosphere. In non-El Nino years, trade winds over the tropical Pacific Ocean drive the seas westward, from the coast of Central America toward Indonesia, adding a thick, warm layer to the surface of the western part of the ocean while cooler water rises to the surface in the east. This brings rain to the west and dry conditions to the east.
During El Nino, the trade winds relax and the sea surface temperature differences between the Western and Eastern Pacific Ocean are diminished. This alters the heat distribution in both the water and the air in each region, forcing a cascade of global climate-related changes.
“It has an impact on Madison winter temperatures — when Peru is warm, it’s warm here,” says Liu. “It has global impact. If there are changes in the future, will it change the pattern?”
Before the start of the Holocene — which began roughly 12,000 years ago — pulses of melting water during deglaciation most strongly influenced El Nino, the study found. But since that time, changes in Earth’s orbit have played the greatest role in intensifying it.
Like an uptick in tempo, the feedbacks between ocean and atmosphere — such as how wind and seas interact — have grown stronger.
However, even with the best data available, some features of the simulated El Nino — especially prior to 6,000 years ago — can’t be tested unambiguously, Liu says. The current observational data feeding the model is sparse and the resolution too low to pick up subtle shifts in El Nino over the millennia.
The study findings indicate better observational data is needed to refine the science, like more coral samples and sediment measurements from different locations in the Central Pacific. Like all science, better understanding what drives El Nino and how it might change is a process, and one that will continue to evolve over time.
“It’s really an open door; we need more data to get a more significant model,” he says. “With this study, we are providing the first benchmark for the next five, 10, 20 years into the future.”
Story Source:
The above story is based on materials provided by University of Wisconsin-Madison. The original article was written by Kelly April Tyrrell. Note: Materials may be edited for content and length.
Journal Reference:
Date:
November 26, 2014
Source:
Stanford School of Engineering
Summary:
Engineers have invented a material designed to help cool buildings. The material reflects incoming sunlight, and it sends heat from inside the structure directly into space as infrared radiation.
Stanford engineers have invented a material designed to help cool buildings. The material reflects incoming sunlight and sends heat from inside the structure directly into space as infrared radiation – represented by reddish rays. Credit: Illustration: Nicolle R. Fuller, Sayo-Art LLC
Stanford engineers have invented a revolutionary coating material that can help cool buildings, even on sunny days, by radiating heat away from the buildings and sending it directly into space.
A new ultrathin multilayered material can cool buildings without air conditioning by radiating warmth from inside the buildings into space while also reflecting sunlight to reduce incoming heat.
A team led by electrical engineering Professor Shanhui Fan and research associate Aaswath Raman reported this energy-saving breakthrough in the journal Nature.
The heart of the invention is an ultrathin, multilayered material that deals with light, both invisible and visible, in a new way.
Invisible light in the form of infrared radiation is one of the ways that all objects and living things throw off heat. When we stand in front of a closed oven without touching it, the heat we feel is infrared light. This invisible, heat-bearing light is what the Stanford invention shunts away from buildings and sends into space.
Of course, sunshine also warms buildings. The new material, in addition to dealing with infrared light, is also a stunningly efficient mirror that reflects virtually all of the incoming sunlight that strikes it.
The result is what the Stanford team calls photonic radiative cooling — a one-two punch that offloads infrared heat from within a building while also reflecting the sunlight that would otherwise warm it up. The result is cooler buildings that require less air conditioning.
“This is very novel and an extraordinarily simple idea,” said Eli Yablonovitch, a professor of engineering at the University of California, Berkeley, and a pioneer of photonics who directs the Center for Energy Efficient Electronics Science. “As a result of professor Fan’s work, we can now [use radiative cooling], not only at night but counter-intuitively in the daytime as well.”
The researchers say they designed the material to be cost-effective for large-scale deployment on building rooftops. Though it’s still a young technology, they believe it could one day reduce demand for electricity. As much as 15 percent of the energy used in buildings in the United States is spent powering air conditioning systems.
In practice the researchers think the coating might be sprayed on a more solid material to make it suitable for withstanding the elements.
“This team has shown how to passively cool structures by simply radiating heat into the cold darkness of space,” said Nobel Prize-winning physicist Burton Richter, professor emeritus at Stanford and former director of the research facility now called the SLAC National Accelerator Laboratory.
A warming world needs cooling technologies that don’t require power, according to Raman, lead author of the Nature paper. “Across the developing world, photonic radiative cooling makes off-grid cooling a possibility in rural regions, in addition to meeting skyrocketing demand for air conditioning in urban areas,” he said.
Using a window into space
The real breakthrough is how the Stanford material radiates heat away from buildings.
As science students know, heat can be transferred in three ways: conduction, convection and radiation. Conduction transfers heat by touch. That’s why you don’t touch a hot oven pan without wearing a mitt. Convection transfers heat by movement of fluids or air. It’s the warm rush of air when the oven is opened. Radiation transfers heat in the form of infrared light that emanates outward from objects, sight unseen.
The first part of the coating’s one-two punch radiates heat-bearing infrared light directly into space. The ultrathin coating was carefully constructed to send this infrared light away from buildings at the precise frequency that allows it to pass through the atmosphere without warming the air, a key feature given the dangers of global warming.
“Think about it like having a window into space,” Fan said.
Aiming the mirror
But transmitting heat into space is not enough on its own.
This multilayered coating also acts as a highly efficient mirror, preventing 97 percent of sunlight from striking the building and heating it up.
“We’ve created something that’s a radiator that also happens to be an excellent mirror,” Raman said.
Together, the radiation and reflection make the photonic radiative cooler nearly 9 degrees Fahrenheit cooler than the surrounding air during the day.
The multilayered material is just 1.8 microns thick, thinner than the thinnest aluminum foil.
It is made of seven layers of silicon dioxide and hafnium oxide on top of a thin layer of silver. These layers are not a uniform thickness, but are instead engineered to create a new material. Its internal structure is tuned to radiate infrared rays at a frequency that lets them pass into space without warming the air near the building.
“This photonic approach gives us the ability to finely tune both solar reflection and infrared thermal radiation,” said Linxiao Zhu, doctoral candidate in applied physics and a co-author of the paper.
“I am personally very excited about their results,” said Marin Soljacic, a physics professor at the Massachusetts Institute of Technology. “This is a great example of the power of nanophotonics.”
From prototype to building panel
Making photonic radiative cooling practical requires solving at least two technical problems.
The first is how to conduct the heat inside the building to this exterior coating. Once it gets there, the coating can direct the heat into space, but engineers must first figure out how to efficiently deliver the building heat to the coating.
The second problem is production. Right now the Stanford team’s prototype is the size of a personal pizza. Cooling buildings will require large panels. The researchers say large-area fabrication facilities can make their panels at the scales needed.
The cosmic fridge
More broadly, the team sees this project as a first step toward using the cold of space as a resource. In the same way that sunlight provides a renewable source of solar energy, the cold universe supplies a nearly unlimited expanse to dump heat.
“Every object that produces heat has to dump that heat into a heat sink,” Fan said. “What we’ve done is to create a way that should allow us to use the coldness of the universe as a heat sink during the day.”
In addition to Fan, Raman and Zhu, this paper has two additional co-authors: Marc Abou Anoma, a master’s student in mechanical engineering who has graduated; and Eden Rephaeli, a doctoral student in applied physics who has graduated.
This research was supported by the Advanced Research Project Agency-Energy (ARPA-E) of the U.S. Department of Energy.
Story Source:
The above story is based on materials provided by Stanford School of Engineering. The original article was written by Chris Cesare. Note: Materials may be edited for content and length.
Journal Reference:
Date:
November 26, 2014
Source:
Cell Press
Summary:
When people hear another person talking to them, they respond not only to what is being said — those consonants and vowels strung together into words and sentences — but also to other features of that speech — the emotional tone and the speaker’s gender, for instance. Now, a report provides some of the first evidence of how dogs also differentiate and process those various components of human speech.
The results from this study support the idea that our canine companions are paying attention “not only to who we are and how we say things, but also to what we say,” authors say. Credit: © Uros Petrovic / Fotolia
When people hear another person talking to them, they respond not only to what is being said–those consonants and vowels strung together into words and sentences–but also to other features of that speech–the emotional tone and the speaker’s gender, for instance. Now, a report in the Cell Press journal Current Biology on November 26 provides some of the first evidence of how dogs also differentiate and process those various components of human speech.
“Although we cannot say how much or in what way dogs understand information in speech from our study, we can say that dogs react to both verbal and speaker-related information and that these components appear to be processed in different areas of the dog’s brain,” says Victoria Ratcliffe of the School of Psychology at the University of Sussex.
Previous studies showed that dogs have hemispheric biases–left brain versus right–when they process the vocalization sounds of other dogs. Ratcliffe and her supervisor David Reby say it was a logical next step to investigate whether dogs show similar biases in response to the information transmitted in human speech. They played speech from either side of the dog so that the sounds entered each of their ears at the same time and with the same amplitude.
“The input from each ear is mainly transmitted to the opposite hemisphere of the brain,” Ratcliffe explains. “If one hemisphere is more specialized in processing certain information in the sound, then that information is perceived as coming from the opposite ear.”
If the dog turned to its left, that showed that the information in the sound being played was heard more prominently by the left ear, suggesting that the right hemisphere is more specialized in processing that kind of information.
The researchers did observe general biases in dogs’ responses to particular aspects of human speech. When presented with familiar spoken commands in which the meaningful components of words were made more obvious, dogs showed a left-hemisphere processing bias, as indicated by turning to the right. When the intonation or speaker-related vocal cues were exaggerated instead, dogs showed a significant right-hemisphere bias.
“This is particularly interesting because our results suggest that the processing of speech components in the dog’s brain is divided between the two hemispheres in a way that is actually very similar to the way it is separated in the human brain,” Reby says.
Of course, it doesn’t mean that dogs actually understand everything that we humans might say or that they have a human-like ability of language–far from it. But, says Ratcliffe, these results support the idea that our canine companions are paying attention “not only to who we are and how we say things, but also to what we say.”
All of this should come as good news to many of us dog-loving humans, as we spend considerable time talking to our respective pups already. They might not always understand you, but they really are listening.
Story Source:
The above story is based on materials provided by Cell Press. Note: Materials may be edited for content and length.
Journal Reference:
Date:
November 26, 2014
Source:
University of California – San Diego
Summary:
Bioengineers have discovered that mouse embryos are contemplating their cellular fates in the earliest stages after fertilization when the embryo has only two to four cells, a discovery that could upend the scientific consensus about when embryonic cells begin differentiating into cell types. Their research used single-cell RNA sequencing to look at every gene in the mouse genome.
The research team used single-cell RNA-sequencing to measure every gene in the mouse genome at multiple stages of development to find differences in gene expression at precise stages. Credit: Art by Victor O. Leshyk provided courtesy of bioeningeering professor Sheng Zhong, UC San Diego Jacobs School of Engineering.
Bioengineers at the University of California, San Diego have discovered that mouse embryos are contemplating their cellular fates in the earliest stages after fertilization when the embryo has only two to four cells, a discovery that could upend the scientific consensus about when embryonic cells begin differentiating into cell types. Their research, which used single-cell RNA sequencing to look at every gene in the mouse genome, was published recently in the journal Genome Research. In addition, this group published a paper on analysis of “time-course”single-cell data which is taken at precise stages of embryonic development in the journal of Proceedings of the National Academy of Sciences.
“Until recently, we haven’t had the technology to look at cells this closely,” said Sheng Zhong, a bioengineering professor at UC San Diego Jacobs School of Engineering, who led the research. “Using single-cell RNA-sequencing, we were able to measure every gene in the mouse genome at multiple stages of development to find differences in gene expression at precise stages.”
The findings reveal cellular activity that could provide insight into where normal developmental processes break down, leading to early miscarriages and birth defects.
The researchers discovered that a handful of genes are clearly signaling to each other at the two-cell and four-cell stage, which happens within days after an egg has been fertilized by sperm and before the embryo has implanted into the uterus. Among the identified genes are several genes belonging to the WNT signaling pathway, well-known for their role in cell-cell communications.
The prevailing view until now has been that mammalian embryos start differentiating into cell types after they have proliferated into large enough numbers to form subgroups. According to the co-authors Fernando Biase and Xiaoyi Cao, when the first cell fate decision is made is an open question. The first major task for an embryo is to decide which cells will begin forming the fetus, and which will form the placenta.
The research was funded by the National Institutes of Health (DP2OD007417) and the March of Dimes Foundation.
Zhong’s research in the field of systems or network biology applies engineering principals to understand how biological systems function. For example, they developed analytical methods to predict personal phenotypes, which refer to the physical description of an individual ranging from eye and hair color to health and disposition, using an individual’s personal genome and epigenome. Epigenome refers to the chemical compounds in DNA that regulate gene expression and vary from person to person. Predicting phenotypes with genome and epigenome is an emerging area of research in the field of personalized medicine that scientists believe could provide new ways to predict and treat genetic disorders.
Story Source:
The above story is based on materials provided by University of California – San Diego. Note: Materials may be edited for content and length.
Journal References:
Date:
November 26, 2014
Source:
DZNE – German Center for Neurodegenerative Diseases
Summary:
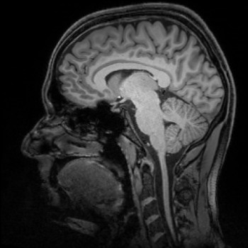
An international team of researchers has successfully determined the location, where memories are generated with a level of precision never achieved before. To this end the scientists used a particularly accurate type of magnetic resonance imaging technology.
Magnetic resonance imaging provides insights into the brain. Credit: DZNE/Guido Hennes
The human brain continuously collects information. However, we have only basic knowledge of how new experiences are converted into lasting memories. Now, an international team led by researchers of the University of Magdeburg and the German Center for Neurodegenerative Diseases (DZNE) has successfully determined the location, where memories are generated with a level of precision never achieved before. The team was able to pinpoint this location down to specific circuits of the human brain. To this end the scientists used a particularly accurate type of magnetic resonance imaging (MRI) technology. The researchers hope that the results and method of their study might be able to assist in acquiring a better understanding of the effects Alzheimer’s disease has on the brain.
The findings are reported in Nature Communications.
For the recall of experiences and facts, various parts of the brain have to work together. Much of this interdependence is still undetermined, however, it is known that memories are stored primarily in the cerebral cortex and that the control center that generates memory content and also retrieves it, is located in the brain’s interior. This happens in the hippocampus and in the adjacent entorhinal cortex.
“It is been known for quite some time that these areas of the brain participate in the generation of memories. This is where information is collected and processed. Our study has refined our view of this situation,” explains Professor Emrah Düzel, site speaker of the DZNE in Magdeburg and director of the Institute of Cognitive Neurology and Dementia Research at the University of Magdeburg. “We have been able to locate the generation of human memories to certain neuronal layers within the hippocampus and the entorhinal cortex. We were able to determine which neuronal layer was active. This revealed if information was directed into the hippocampus or whether it traveled from the hippocampus into the cerebral cortex. Previously used MRI techniques were not precise enough to capture this directional information. Hence, this is the first time we have been able to show where in the brain the doorway to memory is located.”
For this study, the scientists examined the brains of persons who had volunteered to participate in a memory test. The researchers used a special type of magnetic resonance imaging technology called “7 Tesla ultra-high field MRI.” This enabled them to determine the activity of individual brain regions with unprecedented accuracy.
A Precision method for research on Alzheimer’s
“This measuring technique allows us to track the flow of information inside the brain and examine the areas that are involved in the processing of memories in great detail,” comments Düzel. “As a result, we hope to gain new insights into how memory impairments arise that are typical for Alzheimer’s. Concerning dementia, is the information still intact at the gateway to memory? Do troubles arise later on, when memories are processed? We hope to answer such questions.”
Story Source:
The above story is based on materials provided by DZNE – German Center for Neurodegenerative Diseases. Note: Materials may be edited for content and length.
Journal Reference:
Empresa vai aplicar R$ 4,7 milhões para ampliar sua capacidade de prever intempéries; objetivo é reduzir riscos a trabalhadores e prejuízos à operação
A seca atípica, que derrubou o nível dos reservatórios das hidrelétricas, levou ao acionamento excessivo de térmicas e ameaça o abastecimento de água no País, deixou evidente o peso da variável clima no planejamento das grandes empresas. O cenário de extremos climáticos levou a Vale, maior mineradora do mundo, a desenvolver um sistema para monitorar o clima em suas operações no norte do País. Batizado de Forecast Network (ou “rede de previsões”), o projeto receberá investimento de R$ 4,7 milhões em pesquisa e infraestrutura entre 2011 e 2018.
O conteúdo na íntegra está disponível em: http://economia.estadao.com.br/noticias/geral,vale-investe-em-sistema-para-monitorar-clima-imp-,1598149
(Mariana Durão/O Estado de S.Paulo)

24/11/2014
Funcionário da Sabesp e diretor do Sintaema alerta para a contínua queda dos reservatórios e recomenda, ao governo de São Paulo e Sabesp, medida imediata para tentar evitar o colapso. “Declarar um racionamento que falte água para pobre e rico, ao invés de fazer um rodízio nas periferias”
Por Igor Carvalho
Nesta segunda-feira (24), o Sistema Cantareira amanheceu com 9,4% de sua capacidade. Já são dez dias de quedas sucessivas, que colocam o abastecimento de São Paulo em risco. Anderson Guahy, técnico em gestão da Sabesp e diretor de formação do Sindicato dos Trabalhadores em Água, Esgoto e Meio Ambiente de São Paulo (Sintaema), demonstrou preocupação sobre a crise hídrica paulista e alerta a população.
“A situação é alarmante, estamos em perigo. Vai virar calamidade, se não forem tomadas medidas imediatas pelo alto comando da Sabesp e pelo governo de São Paulo”, alerta o técnico.
Guahy explicou que os constantes cortes no fornecimento de água nas regiões periféricas é de conhecimento da Sabesp e poderia ser evitado. “A Sabesp tem que declarar um racionamento que falte água para pobre e rico, ao invés de fazer um rodízio nas periferias”
Uma previsão para o fim dos recursos hídricos no Cantareira ainda é “precipitado”, explica o técnico da Sabesp. “O nível de utilização vem caindo muito, mas não é o único fator, se fizer muito calor, por exemplo, a água pode evaporar mais rápido.”
JC 5070, 24 de novembro de 2014
Desde que os 105 bilhões de litros da reserva técnica entraram no cálculo da Sabesp, o nível do sistema caiu de 13,6% para 9,4%
O Sistema Cantareira já perdeu 4,2 pontos porcentuais desde que a segunda cota do volume morto foi incorporada, há exatamente um mês. Quando os 105 bilhões de litros de água da reserva técnica foram acrescidos, no dia 24 de outubro, o nível do manancial saltou de 3%, o menor já registrado na história, para 13,6%. Hoje, no entanto, o reservatório está com apenas 9,4% da sua capacidade.
O conteúdo na íntegra está disponível em: http://sao-paulo.estadao.com.br/noticias/geral,um-mes-apos-2-volume-morto-cantareira-caiu-4-2-pontos-porcentuais,1597210
(O Estado de S.Paulo)
* * *
Os dados fazem parte do levantamento diário divulgado pela Sabesp
Em quedas sucessivas há dez dias, o volume de água armazenado no Sistema Cantareira chegou hoje (24) a 9,4%. Os dados fazem parte do levantamento diário divulgado pela Companhia de Saneamento Básico do Estado de São Paulo. No dia 15, começou a ser bombeada a segunda parte do volume morto, água que fica abaixo do nível das comportas.
A reserva técnica acrescentou 105 bilhões de litros ao volume útil do sistema. Este é o último recurso de armazenamento disponível. A primeira parte da reserva foi incluída no dia 16 de maio, após obras para a instalação de bombas, e incorporou 182,5 bilhões de litros de água ao Sistema Cantareira.
Outros mananciais importantes no abastecimento de São Paulo apresentaram queda hoje. O volume armazenado no Alto Tietê, segundo mais importante da cidade, passou de 6,1% para 5,9%; no Guarapiranga, na zona sul da capital, o nível caiu de 32,3% para 32,2%; no Rio Grande, de 63,8% para 63,4%; e no Rio Claro, de 31,9% para 31,3%. O Alto Cotia, por sua vez, ficou estável em 28%.
Saiba Mais
(Camila Maciel / Agência Brasil)
JC, 5070, 24 de novembro de 2014
Aumento seria de até 2 graus Celsius; fenômeno El Niño pode provocar mais chuvas
Daqui a um mês começa a estação mais popular do Rio. E o verão de 2015 não deve dar trégua para quem detesta calor. De acordo com o Instituto Climatempo, o primeiro bimestre do ano que vem terá temperaturas ainda mais elevadas do que as registradas no ano passado. Em janeiro, a média será de 32ºC. Em fevereiro, 36ºC. Em 2014, a média não superou os 34ºC.
Leia mais sobre esse assunto em: http://oglobo.globo.com/sociedade/ciencia/temperaturas-do-verao-vao-superar-as-de-2014-diz-instituto-14635118#ixzz3K03TB9r8
(Renato Grandelle, com Agências Internacionais / O Globo)
JC, 5070, 24 de novembro de 2014
Salto na poluição ameaça meta brasileira para combater aquecimento global; governo inocenta o desmatamento
Má notícia para o governo Dilma Rousseff, pior para o planeta: a contribuição do país para o aquecimento global avançou 7,8% em 2013. O dado indica reversão da tendência de queda após 2005.
Veja o texto na íntegra em: http://www1.folha.uol.com.br/fsp/cienciasaude/196408-emissoes-nacionais-sobem-78-em-2013.shtml
(Marcelo Leite/Folha de S.Paulo)
Mônica Bergamo (23/11/2014)
Estádios alimentam rivalidade entre torcedores de SP, que rejeitam críticas e desdenham da casa dos adversários
O celular do economista Luiz Gonzaga Belluzzo apitava sem parar na quarta-feira (19), dia em que a nova arena do Palmeiras foi inaugurada, sinalizando as mensagens que chegavam ao aparelho do ex-presidente do clube.
–
“O Belluzzão abre hoje!”, dizia o amigo Rogério. “É de enlouquecer, amigo! Ser testemunha disso é demais!”, afirmava outro. “Showzaço”, endossava o jornalista José Roberto Burnier, da TV Globo. “Faltam algumas horas, professor. Mais uma missão cumprida. Tudo começou com você. Parabéns!”, afirmava outro torcedor integrante do grupo de WhatsApp.
–
“É um verdadeiro delírio!”, diz Belluzzo sobre o envolvimento da torcida com a inauguração do estádio.
–
Há sete anos, quando lançou a proposta de reformar o Palestra Itália, Belluzzo, então diretor de planejamento do Palmeiras, imaginava apenas “construir um estádio que gerasse receitas”. O que era só uma ideia prática foi crescendo, crescendo e absorvendo o dirigente (em 2010, já presidente do clube, ele teve um “piripaque” e colocou quatro pontes de safena. O prefeito Gilberto Kassab levou ao hospital o presente: o alvará para a construção da arena). A torcida o seguiu num embalo ainda maior.
–
“Fui percebendo que a relação das torcidas com as arenas, antes sem tanta importância, mudou –e no mundo todo, por influência da globalização do futebol. Todo grande clube hoje tem o seu estádio: o Barcelona tem o Camp Nou, o Real Madrid, o Santiago Bernabéu. Eles passaram a simbolizar a grandeza –e também a rivalidade dos times. Viraram verdadeiros templos, semissagrados.”
–
No jogo entre Palmeiras e Sport, que abriu a Allianz Parque, nome comercial da nova casa alviverde, o estudante Matheus Rubio era um dos milhares de fanáticos que invadiram a rua Turiassu. “É uma peregrinação. O Palestra Itália não é um estádio, é um santuário”, bradava.
–
A derrota para o Sport atrapalhou um pouco a festa. O local foi rebatizado pelos rivais na internet de “Ananias Parque”, em alusão ao jogador do time pernambucano que se tornou o primeiro a balançar as redes do estádio. Outra piada foi a comparação da Allianz Parque com um ralador de queijo, publicada pela página “Corinthians Mil Grau”, com mais de 300 mil fãs no Facebook.
–
Já a página de humor esportivo “Olé do Brasil” fez montagem comparando o Itaquerão a uma impressora. O Morumbi, do São Paulo, é ironizado por adversários por nem sequer possuir título de “arena”, o termo da moda.
–
“O Morumbi tem história e tradição, coisa que os estádios do Corinthians e do Palmeiras vão levar 50 anos para ter”, provoca Henri Castelli, são-paulino e integrante da torcida Independente, principal organizada do tricolor.
–
O ator, que não foi aos jogos da Copa do Mundo no Itaquerão, em junho, deixa claro: jamais irá aos estádios adversários, nem mesmo para assistir a um show. “Não tem sentido fazer um estádio tão longe como o do Corinthians, além de ser uma arena bem feia. Já o Palmeiras vendeu tudo, ele não manda em nada no estádio”, diz ao repórter Nicolas Iory.
–
O ex-zagueiro Tonhão, ídolo da torcida alviverde na década de 1990, defende a nova casa do Palmeiras. “O estádio mantém a alma do antigo Palestra Itália.” Sem citar o nome do estádio corintiano, emenda: “A gente respeita o Morumbi, a Vila Belmiro, o Pacaembu e o estádio do outro adversário, mas isso aqui é o top”.
–
“A Allianz Parque está em uma área de adensamento urbano, não sei se vai suportar grandes eventos”, diz o corintiano Marcelo Silber, médico pediatra no hospital Albert Einstein. “E o acabamento não é igual ao da Arena Corinthians [ele evita usar o nome Itaquerão], que é espetacular. É um milhão de vezes melhor que o Morumbi e o Pacaembu. Não tem nem comparação.”
–
Silber é filiado ao Fiel Torcedor, programa de sócio-torcedor do Corinthians, e foi a 10 dos 16 jogos do clube já disputados no Itaquerão, inclusive na abertura do estádio, na derrota para o Figueirense, em maio. Para ver seu time jogar, o pediatra até já atravessou um oceano, em 2012, quando o alvinegro disputou –e venceu– o Mundial de Clubes no Japão.
–
Quando o surfista Pedro Scooby, marido da atriz Luana Piovani, chamou o estádio corintiano de “favelão”, na abertura da Copa, Silber ficou inconformado. “Foi uma crítica estapafúrdia, sem sentido. Isso é um comentário elitista, beirando o preconceito.” Como ele, centenas de torcedores protestaram contra o surfista na internet. Scooby então se apressou a negar a crítica. “Inclusive tenho uma camisa do Timão”, defendeu-se em uma rede social.
–
Há torcedores alvinegros que pedem, em fóruns virtuais, que o clube lucre com as piadas. A comparação do Itaquerão com uma impressora, por exemplo, poderia servir para que se fechasse um contrato com a HP, fabricante do aparelho.
–
Dirigentes dos clubes são mais contidos. “Os estádios do Palmeiras e do São Paulo têm características diferentes das do Corinthians. Queremos ter estrutura que atenda bem o nosso cliente, e não ser melhores que ninguém”, diz Lúcio Blanco, gerente de operações do Itaquerão.
–
Os três estádios concorrem também no mercado de shows e eventos corporativos e sociais. A Arena Corinthians, segundo Blanco, quer atrair eventos empresariais. O clube, para proteger o gramado, não admite a montagem de palcos ou outras estruturas dentro do campo. “Mas é claro que, se houver interesse, temos a área externa, que pode atender até 35 mil pessoas”, diz ele.
–
A arena do Verdão será palco de duas apresentações que o ex-Beatle Paul McCartney fará nesta terça (25) e quarta (26). A próxima grande atração no estádio podem ser os Rolling Stones, que chegaram a ser cotados para tocar no Itaquerão.
–
Em quatro anos, foram gastos cerca de R$ 700 milhões com a modernização do Palestra Itália. Tudo foi bancado pela WTorre, que vai explorar o estádio por 30 anos.
–
“A Allianz Parque foi planejada para ser um espaço multiúso, e não só a casa do Palmeiras”, explica Rogério Dezembro, diretor da construtora. “Tudo que foi possível construir para agilizar e baratear o custo de operação, seja de um show ou de um evento corporativo, foi feito.”
–
As inovações do estádio do rival, no entanto, não intimidam Douglas Schwartzmann, diretor de comunicação do São Paulo. Ele não acredita que o Morumbi será jogado para escanteio. “Temos mais três ou quatro propostas de shows, além do Foo Fighters [que toca no estádio em janeiro]”, diz o dirigente.
–
Apesar da rivalidade, é comum torcedores inspecionarem, digamos, a casa do adversário. O corintiano Marcelo Silber aguarda convite para assistir a um jogo na arena do Palmeiras. “Ninguém fala, mas todo mundo quer conhecer o estádio do outro”, admite ele. Satisfeita a curiosidade, cada um volta à casa própria. Silber diz, por exemplo, que não faz “a menor questão” de retornar ao Morumbi.
–
Edição 2048 (5 a 11 de outubro de 2014)
Uma das maiores autoridades sobre o tema, professor da PUC Goiás diz que destruição do bioma é irreversível e que isso compromete o abastecimento potável em todo o País
Elder Dias
Uma ilha ambiental em meio à metrópole está no Campus 2 da Pontifícia Universidade Católica de Goiás (PUC Goiás). É lá o local onde Altair Sales Barbosa idealizou e realizou uma obra que se tornou ponto turístico da capital: o Memorial do Cerrado, eleito em 2008 o local mais bonito de Goiânia e um dos projetos do Instituto do Trópico Subúmido (ITS), dirigido pelo professor.
Foi lá que Altair, um dos mais profundos conhecedores do bioma Cerrado, recebeu a equipe do Jornal Opção. Como professor e pesquisador, tem graduação em Antropologia pela Universidade Católica do Chile e doutorado em Arqueologia Pré-Histórica pelo Museu Nacional de História Natural, em Washington (EUA). Mais do que isso, tem vivência do conhecimento que conduz.
É justamente pela força da ciência que ele dá a notícia que não queria: na prática o Cerrado já está extinto como bioma. E, como reza o dito popular, notícia ruim não vem sozinha, antes de recuperar o fôlego para absorver o impacto de habitar um ecossistema que já não existe, outra afirmação produz perplexidade: a devastação do Cerrado vai produzir também o desaparecimento dos reservatórios de água, localizados no Cerrado, o que já vem ocorrendo — a crise de abastecimento em São Paulo foi só o início do problema. Os sinais dos tempos indicam já o começo do período sombrio: “Enquanto se está na fartura, você é capaz de repartir um copo d’água com o irmão; mas, no dia da penúria, ninguém repartirá”, sentencia o professor.
“Memorial do Cerrado” – o nome deste espaço de preservação criado pelo sr. aqui no Campus 2 da PUC Goiás, é uma expressão pomposa. Mas, tendo em vista o que vivemos hoje, é algo quase que tristemente profético. O Cerrado está mesmo em vias de extinção?
Para entender isso é preciso primeiramente entender o que é o Cerrado. Dos ambientes recentes do planeta Terra, o Cerrado é o mais antigo. A história recente da Terra começou há 70 milhões de anos, quando a vida foi extinta em mais de 99%. A partir de então, o planeta começou a se refazer novamente. Os primeiros sinais de vida, principalmente de vegetação, que ressurgem na Terra se deram no que hoje constitui o Cerrado. Portanto, vivemos aqui no local onde houve as formas de ambiente mais antigas da história recente do planeta, principalmente se levarmos em consideração as formações vegetais. No mínimo, o Cerrado começou há 65 milhões de anos e se concretizou há 40 milhões de anos.
O Cerrado é um tipo de ambiente em que vários elementos vivem intimamente interligados uns aos outros. A vegetação depende do solo, que é oligotrófico [com nível muito baixo de nutrientes]; o solo depende de um tipo de clima especial, que é o tropical subúmido com duas estações, uma seca e outra chuvosa. Vários outros fatores, incluindo o fogo, influenciaram na formação do bioma – o fogo é um elemento extremamente importante porque é ele que quebra a dormência da maioria das plantas com sementes que existem no Cerrado.
Assim, é um ambiente que depende de vários elementos. Isso significa que já chegou em seu clímax evolutivo. Ou seja, uma vez degradado não vai mais se recuperar na plenitude de sua biodiversidade. Por isso é que falamos que o Cerrado é uma matriz ambiental que já se encontra em vias de extinção.
Por que o sr. é tão taxativo?
Uma comunidade vegetal é medida não por um determinado tipo de planta ou outro, mas, sim, por comunidades e populações de plantas. E já não se encontram mais populações de plantas nativas do Cerrado. Podemos encontrar uma ou outra espécie isolada, mas encontrar essas populações é algo praticamente impossível.
Outra questão: o solo do Cerrado foi degradado por meio da ocupação intensiva. Retiraram a gramínea nativa para a implantação de espécies exóticas, vindas da África e da Austrália. A introdução dessas gramíneas, para o pastoreio, modificou radicalmente a estrutura do solo. Isso significa que naquele solo, já modificado, a maioria das plantas não conseguirá brotar mais.
Como se não bastasse tudo isso, o Cerrado foi incluído na política de expansão econômica brasileira como fronteira de expansão. É uma área fácil de trabalhar, em um planalto, sem grandes modificações geomorfológicas e com estações bem definidas. Junte-se a isso toda a tecnologia que hoje há para correção do solo. É possível tirar a acidez do solo utilizando o calcário; aumentar a fertilidade, usando adubos. Com isso, altera-se a qualidade do solo, mas se afetam os lençóis subterrâneos e, sem a vegetação nativa, a água não pode mais infiltrar na terra.
Onde há pastagens e cultivo, então, o Cerrado está inviabilizado para sempre, é isso?
Onde houve modificação do solo a vegetação do Cerrado não brota mais. O solo do Cerrado é oligotrófico, carente de nutrientes básicos. Quando o agricultor e o pecuarista enriquecem esse solo, melhorando sua qualidade, isso é bom para outros tipos de planta, mas não para as do Cerrado. Por causa disso, não há mais como recuperar o ambiente original, em termos de vegetação e de solo.
Mas o mais importante de tudo isso é que as águas que brotam do Cerrado são as mesmas águas que alimentam as grandes bacias do continente sul-americano. É daqui que saem as nascentes da maioria dessas bacias. Esses rios todos nascem de aquíferos. Um aquífero tem sua área de recarga e sua área de descarga. Ao local onde ele brota, formando uma nascente, chamamos de área de descarga. Como ele se recarrega? Nas partes planas, com a água das chuvas, que é absorvida pela vegetação nativa do Cerrado. Essa vegetação tem plantas que ficam com um terço de sua estrutura exposta, acima do solo, e dois terços no subsolo. Isso evidencia um sistema radicular [de raízes] extremamente complexo. Assim, quando a chuva cai, esse sistema radicular absorve a água e alimenta o lençol freático, que vai alimentar o lençol artesiano, que são os aquíferos.
Quando se retira a vegetação nativa dos chapadões, trocando-a por outro tipo, alterou-se o ambiente. Ocorre que essa vegetação introduzida – por exemplo, a soja ou o algodão ou qualquer outro tipo de cultura para a produção de grãos – tem uma raiz extremamente superficial. Então, quando as chuvas caem, a água não infiltra como deveria. Com o passar dos tempos, o nível dos lençóis vai diminuindo, afetando o nível dos aquíferos, que fica menor a cada ano.
As plantas do cerrado são de crescimento muito lento. Quando Pedro Álvares Cabral chegou ao Brasil, os Buritis que vemos hoje estavam nascendo. eles demoram 500 anos para ter de 25 a 30 metros. também por isso, o dano ao bioma é irreversível
Qual é a consequência imediata desse quadro?
Em média, dez pequenos rios do Cerrado desaparecem a cada ano. Esses riozinhos são alimentadores de rios maiores, que, por causa disso, também têm sua vazão diminuída e não alimentam reservatórios e outros rios, de que são afluentes. Assim, o rio que forma a bacia também vê seu volume diminuindo, já que não é abastecido de forma suficiente. Com o passar do tempo, as águas vão desaparecendo da área do Cerrado. A água, então, é outro elemento importante do bioma que vai se extinguindo.
Hoje, usa-se ainda a agricultura irrigada porque há uma pequena reserva nos aquíferos. Mas, daqui a cinco anos, não haverá mais essa pequena reserva. Estamos colhendo os frutos da ocupação desenfreada que o agronegócio impôs ao Cerrado a partir dos anos 1970: entraram nas áreas de recarga dos aquíferos e, quando vêm as chuvas, as águas não conseguem infiltrar como antes e, como consequência, o nível desses aquíferos vai caindo a cada ano. Vai chegar um tempo, não muito distante, em que não haverá mais água para alimentar os rios. Então, esses rios vão desaparecer.
Por isso, falamos que o Cerrado é um ambiente em extinção: não existem mais comunidades vegetais de formas intactas; não existem mais comunidades de animais – grande parte da fauna já foi extinta ou está em processo de extinção; os insetos e animais polinizadores já foram, na maioria, extintos também; por consequência, as plantas não dão mais frutos por não serem polinizadas, o que as leva à extinção também. Por fim, a água, fator primordial para o equilíbrio de todo esse ecossistema, está em menor quantidade a cada ano.
Como é a situação desses aquíferos atualmente?
Há três grandes aquíferos na região do Cerrado: o Bambuí, que se formou de 1 bilhão de anos a 800 milhões de anos antes do momento presente; os outros dois são divisões do Aquífero Guarani, que está associado ao Arenito Botucatu e ao Arenito Bauru que começou a se formar há 70 milhões de anos. O Guarani alimenta toda a Bacia do Rio Paraná: a maior parte dos rios de São Paulo, de Mato Grosso, de Mato Grosso do Sul – incluindo o Pantanal Mato-Grossense – e grande parte dos rios de Goiás que correm para o Paranaíba, como o Meia Ponte. Toda essa bacia depende do Aquífero Guarani, que já chegou em seu nível de base e está alimentando insuficientemente os rios que dependem dele. Por isso, os rios da Bacia do Paraná diminuem sua vazão a cada ano que passa.
Então, podemos ter nisso a explicação para a crise da água em São Paulo?
Exato. Como medida de urgência, já estão perfurando o Arenito Bauru – que é mais profundo que o Botucatu, já insuficiente –, tentando retirar pequenas reservas de água para alimentar o sistema Cantareira [o mais afetado pela escassez e que abastece a capital paulista]. Mesmo se chover em grande quantidade, isso não será suficiente para que os rios juntem água suficiente para esse reservatório.
Assim como ocorre no Cantareira, outros reservatórios espalhados pela região do Cerrado – Sobradinho, Serra da Mesa e outros – vão passar pelo mesmo problema. Isso porque o processo de sedimentação no fundo do lago de um reservatório é um processo lento. Os sedimentos vão formando argila, que é uma rocha impermeável. Então, a água daquele lago não vai alimentar os aquíferos. Mesmo tendo muita quantidade de água superficial, ela não consegue penetrar no solo para alimentar os aquíferos. Se não for usada no consumo, ela vai simplesmente evaporar e vai cair em outro lugar, levada pelas correntes aéreas. Isso é outro motivo pelo qual os aquíferos não conseguem recuperar seu nível, porque não recebem água.
Geologicamente sendo o mais antigo, seria natural que o Cerrado fosse o primeiro bioma a desaparecer. Mas isso em escala geológica, de milhões de anos. Mas, pelo que o sr. diz, a antropização [ação humana no ambiente] multiplicou em muitíssimas vezes esse processo de extinção.
Sim. Até meados dos anos 1950, tínhamos o Cerrado praticamente intacto no Centro-Oeste brasileiro. Desde então, com a implantação de infraestrutura viária básica, com a construção de grandes cidades, como Brasília, criou-se um conjunto que modificou radicalmente o ambiente. A partir de 1970, quando as grandes multinacionais da agroindústria se apossaram dos ambientes do Cerrado para grandes monoculturas, aí começa o processo de finalização desse bioma. Ou seja, o homem sendo responsável pelo fim desse ambiente que é precioso para a história do planeta Terra.
Em que o Cerrado é tão precioso?
De todas as formas de vegetação que existem, o Cerrado é a que mais limpa a atmosfera. Isso ocorre porque ele se alimenta basicamente do gás carbônico que está no ar, porque seu solo é oligotrófico.
Diz-se que o Cerrado é o contrário da Amazônia: uma floresta invertida, em confirmação à definição que o sr. deu sobre o fato de dois terços de cada planta do Cerrado estarem debaixo da terra. Ou seja, a destruição do Cerrado é muito mais séria do que alcança a nossa visão com o avanço da fronteira agrícola. É uma devastação muito maior, porque também ocorre longe dos olhos, subterrânea.
Isso faz sentido, porque, na parte subterrânea, além do sequestro de carbono está armazenada a água, sem a qual não prospera nenhuma atividade econômica. A Amazônia terminou de ser formada há apenas 3 mil anos, um processo que começou há 11 mil anos, com o fim da glaciação no Hemisfério Norte. A configuração que tem hoje existe na plenitude só há 3 mil anos. A Mata Atlântica tem 7 mil anos. São ambientes que, se degradados, é possível recuperá-los, porque são novos, estão em formação ainda.
Já com o Cerrado isso é impossível, porque suas árvores já atingiram alto grau de especialização. Tanto que o processo de quebra da dormência de determinadas sementes são extremamente sofisticados. Uma semente de araticum, por exemplo, só pode ter sua dormência quebrada no intestino delgado de um canídeo nativo do Cerrado – um lobo guará, uma raposa. Como esses animais estão em extinção, fica cada vez mais difícil quebrar a dormência de um araticum, que é uma anonácea [família de plantas que inclui também a graviola e a ata (fruta-do-conde), entre outras].
As abelhas europeias e africanas são recentes, foram introduzidas no século passado. O professor Warwick Kerr, que introduziu a abelha africana no Brasil, na década de 1950, ainda é vivo e atua na Universidade Federal de Uberlândia (UFU). São boas produtoras de mel, mas não estão adaptadas para fazer a polinização das plantas do Cerrado. As abelhas nativas do Cerrado, que não tem ferrão e são chamadas de meliponinas – jataí, mandaçaia, uruçu – eram os maiores agentes polinizadores naturais, juntamente com os insetos, em função de sua anatomia. Hoje estão praticamente extintas, como esses insetos, pelo uso de herbicidas e outros tipos de veneno, que combatiam pragas de vegetações exóticas em lavouras e pastagens. Quando se utiliza o pesticida para extinguir essas pragas também se mata o inseto nativo, que é polinizador das plantas do Cerrado. Por isso, se encontram muitas plantas nativas sem fruto, por não terem sido polinizadas.
A flora do Cerrado é geralmente desprezada. O que ela representa, de fato?
Nós vivemos em meio à mais diversificada flora do planeta. O Cerrado contém a maior biodiversidade florística. Isso não está na Amazônia, nem na Mata Atlântica, nem em uma savana africana ou em uma savana australiana. Nem qualquer outro ambiente da Terra. São 12.365 plantas catalogadas no Cerrado. Só as que conhecemos. A cada expedição que fazemos, cada vez que vamos a campo, pelo menos 50 novas espécies são descobertas. Dessas 12.365 plantas conhecidas, somos capazes de multiplicar em viveiro apenas 180. Isso é cerca de 1,5% do total, quase nada em relação a esse universo. E só conseguimos fazer mudas de plantas arbóreas.
Para as demais, que são extremamente importantes para o equilíbrio ecológico, para o sequestro de carbono e para a captação de água, não temos tecnologia para fazer mudas. Por exemplo, o capim-barba-de-bode, a canela-de-ema, a arnica, o tucum-rasteiro, esses dois últimos com raízes extremamente complexas. Se tirarmos um tucum-rasteiro, que está no máximo 40 centímetros acima do nível do solo, e olharmos seu tronco, vamos encontrar milhares ou até milhões de raízes grudados naquele tronco. Se tirarmos um pedaço pequeno dessas raízes e levarmos ao microscópio, veremos centenas de radículas que saem delas. Uma pequena plantinha com um sistema radicular extremamente complexo, que retém a água e alimenta os diversos ambientes do Cerrado. É algo que não se consegue reproduzir em viveiro, porque não há tecnologia. O que conseguimos é em relação a algumas plantas arbóreas.
Outro aspecto que indica que o Cerrado já entrou em vias de extinção é que as plantas do Cerrado são de crescimento muito lento. Uma canela-de-ema atinge a idade adulta com mil anos de idade. O capim-barba-de-bode fica adulto com 600 anos. Um buriti atinge 30 metros de altura com 500 anos. Nossas veredas – que existiam em abundância até pouco tempo – eram compostas de plantas “nenês” quando Pedro Álvares Cabral chegou ao Brasil, estavam nascendo naquela época e sua planta mais comum, o buriti, está hoje com 25 metros, 30 metros.
Mas a tecnologia e a biotecnologia não fornecem nenhuma alternativa para mudar esse quadro?
Para se ter ideia da complexidade, vamos tomar o caso do buriti, que só pode ser plantado em uma lama turfosa, cheia de turfa, com muita umidade. Se o solo estiver seco, o buriti não vai vingar ali. Mas, mesmo se conseguíssemos plantar – o que é difícil, porque não existe mais o solo apropriado –, aquele buriti só atingiria a idade adulta e dar frutos depois de muitos séculos. Então, não tem como tentar dizer que se pode usar técnicas para revitalizar o Cerrado. Isso é praticamente impossível.
A interface do Cerrado, para falar em uma linguagem moderna, não é amigável para o uso da tecnologia conhecida. Não tem como acelerar o crescimento de um buriti como se faz com a soja.
Não dá para fazer isso, até porque as plantas do Cerrado convivem com uma porção de outros elementos que, para outras plantas, seriam nocivos. Por exemplo, certos fungos convivem em simbiose com espécies do Cerrado. Um simples fungo pode impedir a biotecnologia. Seria possível desenvolver, por meio de tecidos, tal planta em laboratório. Mas sem aquele fungo a planta não sobrevive. E com o fungo, mas em laboratório, ela também não se desenvolve. Ou seja, é algo extremamente complicado, mais do que podemos imaginar.
Mesmo que os mais pragmáticos menosprezem a importância de um determinado animal ou uma “plantinha” em relação a uma obra portentosa, como uma hidrelétrica, há algo que está sob ameaça com o fim do Cerrado, como a água. Isso é algo básico para todos. A contradição é que o Cerrado – assim como a caatinga e os pampas – não são ainda patrimônio nacional, ao contrário da Mata Atlântica, o Pantanal e a Amazônia. Há uma lei, a PEC 115/95 [proposta de emenda constitucional], de autoria do então deputado Pedro Wilson (PT-GO), que pede essa isonomia há quase 20 anos. Essa lei ajudaria alguma coisa?
Na prática, não poderia ajudar mais em nada, porque o que tinha de ser ocupado do Cerrado já foi. O bioma já chegou em seu limiar máximo de ocupação. Mas o governo brasileiro é tão maquiavélico e inteligente que, para evitar maiores discussões, no ano passado redesenhou todo o mapa ambiental brasileiro. Dessa forma, separou o Pantanal do Cerrado – embora o primeiro seja um subsistema do segundo –, transformou-o em patrimônio nacional e a área do Cerrado já ocupada foi ignorada e incluída no plano de desenvolvimento como área de expansão da fronteira agrícola. Ou seja, o Cerrado, em sua totalidade, já foi contemplado para não ser protegido.
O que os parques nacionais poderiam agregar em uma política de subsistência do Cerrado?
Existe um manejo inadequado dos parques existentes na região do Cerrado. Esse manejo começa com o fogo, quando se cria uma brigada para evitar incêndios no Parque Nacional das Emas, por exemplo. O fogo natural é importante para a preservação do Cerrado. Ora, se se trabalha com o intuito de preservar o Cerrado é preciso conviver com o fogo; agora, se se trabalha com a visão do agrônomo, o fogo é prejudicial, porque acentua o oligotrofismo do solo. O Cerrado precisa desse solo oligotrófico, mas, se o fogo é eliminado, as condições do solo serão alteradas e a planta nativa vai deixar de existir, porque o solo vai adquirir uma melhoria e aquela planta precisa de um solo pobre. Assim, quando se barra o uso do fogo em um parque de Cerrado, o trabalho se dá não com a noção de preservação do ambiente, mas dentro da visão da agricultura. Raciocina-se como agrônomo, não como biólogo.
Outra questão nos parques é que o entorno dos parques já foi tomado por vegetações exóticas. Entre essas vegetações existe o brachiaria, que é uma gramínea extremamente invasora que, à medida que espalha suas sementes, alcança até as áreas dos parques, tomando o lugar das gramíneas nativas. No Parque Nacional das Emas já temos gramínea que não é nativa, o que faz com que haja também vegetação arbórea, de porte maior, também não nativa. Os animais, em função do isolamento do parque, não têm mais contato com áreas naturais, como os barreiros, que forneceriam a eles cálcio e sais naturais. Quando encontramos um osso de animal morto em um parque vemos que está sem calcificação completa, porque falta esse elemento, que é obtido lambendo cinzas queimadas ou visitando os barreiros, que são salinas naturais em que existe esse o elemento. Geralmente há poucos barreiros nos parques, o que torna mais difícil a sobrevivência do animal, que acaba entrando em vias de extinção, o que está acontecendo.
Não há, em nenhum parque nacional criado, aumento da vegetação nativa ou da fauna nativa. O que há é a diminuição dos caracteres nativos daquela vegetação, bem como da fauna. Isso prova que esse isolamento não trouxe benefícios. O que poderia funcionar seria se essas áreas de preservação estivessem interligadas por meio de corredores de migração faunística. Isso evitaria uma série de erros cometidos quando se delimita uma área.
Mas, pelo que o sr. diz, hoje isso seria impossível.
Praticamente impossível, porque as matas ciliares, que deveriam servir como corredores ecológicos, de migração, foram totalmente degradadas. A maioria dos rios foi ocupada, em suas margens, por ambientes urbanos, com a presença do homem, que é um elemento extremamente predatório. Mais que isso: os sistemas agrícolas implantados chegam, em alguns locais, até a margem de córregos e rios, impedindo, também, a existência desses corredores de migração.
Fica, assim, um cenário praticamente inviável. É triste falar isso , mas, na realidade, falamos baseados em dados científicos, no que observamos. Sou o amante número um do Cerrado. Gostaria que ele existisse durante milhões e milhões de anos ainda, mas infelizmente não é isso que vemos acontecer. Se, por exemplo, você observar as nascentes dos grandes rios, verá que elas ou estão secando ou estão migrando cada vez mais para áreas mais baixas. Quando isso ocorre, é sinal de que o lençol que abastece essa nascente está rebaixando.
Observe, por exemplo, o caso das nascentes do Rio São Francisco, na Serra da Canastra; o caso das nascentes do Rio Araguaia ou do Rio Tocantins, que tem o Rio Uru em sua cabeceira mais alta. A cada dia que passa as nascentes vão descendo mais. Vai ocorrer o dia em que chegarão ao nível de base do lençol que as abastece e desaparecerão.
Ao mesmo tempo em que ocorre esse fenômeno, temos um aumento rápido do consumo de água.
Há o aumento da população. Mas, além do mais, o Cerrado entrou, nos últimos anos, por um processo extremamente complicado, que chamamos de desterritorialização. O grande capital chegou às áreas do Cerrado e expulsou os posseiros que lá moravam, por meio da falsificação de documentos, da negociata com cartórios e com políticos. Com a grilagem, adquiriu milhares de hectares e tirou os moradores antigos da região. Isso desestruturou comunidades inteiras.
Isso ainda ocorre em Goiás e em diversos lugares?
Ocorreu e está ocorrendo. E o que isso provoca? O aumento das cidades. Quase não há mais cidadezinhas na região do Cerrado, elas são de médio ou grande porte, porque a população do campo, desamparada e sem terra, veio para a zona urbana. Essas pessoas vêm buscar abrigo na cidade, que oferece a eles algum tipo de serviço. Na cidade, se transformam em outro tipo de categoria social: os sem-teto. Estes vivem aqui e ali, ocupando as áreas mais periféricas da cidade. Vão ocupar planícies de inundação, beiras de córregos, entre outros ambientes desorganizados.
Um homem que vive em um ambiente assim, que nasce, é criado e compartilha dessa desorganização, terá uma mente que tende a ser desorganizada. Ou seja, ao fazer a desterritorialização trabalhamos contra a formação de pessoas sadias. Formamos pessoas transtornadas, mutiladas mentalmente, ocupando as periferias. Não existe plano diretor que dê conta de acompanhar o desenvolvimento das áreas urbanas no Brasil, porque a cada dia chegam novas famílias nessas áreas.
Crescendo em um ambiente desorganizado, sem perspectivas para o futuro, essas pessoas acabam caindo em neuroses para a fuga. A neurose mais comum desse tipo é o uso de drogas. Acabam cometendo o que chamamos de atos ilícitos, mas provocados por uma situação socioeconômica de limitação, vivendo em ambientes precários. Essas pessoas constroem sua vida nesses locais, formam famílias e passam anos ou décadas nesses locais. Só que um dia vem um fenômeno natural qualquer – como El Niño ou La Niña – que, por exemplo, acomete aquele local com uma quantidade muito maior de chuva. Então, o córrego enche e encontra, em sua área de inundação, os barracos daquela população. Aí começa a tragédia urbana, com desabrigados e mortos. Aumenta, ainda mais, o processo de sofrimento no qual estão inseridas essas populações.
Hoje vejo muitos profissionais, principalmente arquitetos, falando em mobilidade urbana. Falam em construir monotrilhos, linhas específicas para ônibus, corredores para bicicletas, mas ninguém toca na ferida: o problema não está ali, mas na desestruturação do homem do campo. Quanto mais se desestrutura o campo, mais pessoas vêm para a cidade, que não consegue absorvê-las, por mais que se implantem linhas novas, estações e bicicletários. O problema está no drama do campo, não na cidade.
Antigamente, se usava a expressão “fixação do homem no campo”. Isso parece que ficou para trás na visão dos governos.
Desistiram porque o que manda é o grande capital. Os bancos estatais se alegram com as safras recordes, fazem propaganda disso. Eles patrocinam os grandes proprietários, só que estes não têm grande quantidade de funcionários, têm uma agricultura intensiva, mecanizada. Isso não ajuda de forma alguma a manter as pessoas na zona rural.
Uma notícia grave é a extinção do Cerrado. Outra, tão ou mais grave, que – pelo que o sr. diz – já pode ser dada, é que em pouco tempo não teremos mais água. A crise da água no Brasil é uma bomba-relógio?
A extinção do Cerrado envolve também a extinção dos grandes mananciais de água do Brasil, porque as grandes bacias hidrográficas “brotam” do Cerrado. O Rio São Francisco é uma consequência do Cerrado: ele nasce em área de Cerrado e é alimentado, em sua margem esquerda, por afluentes do Cerrado: Rio Preto, que nasce em Formosa (GO); Rio Paracatu (MG); Rio Carinhanha, no Oeste da Bahia; Rio Formoso, que nasce no Jalapão (TO) e corre para o São Francisco. Se há a degradação do Cerrado, não há rios para alimentar o São Francisco. Você pode contar no mínimo dez afluentes por ano desses grandes rios que estão desaparecendo.
Como o sr. analisa a transposição do Rio São Francisco?
É um ato muito mais político do que científico. Ela atende muito mais a interesses políticos de grandes proprietários do Nordeste na área da Caatinga, no sertão nordestino. A transposição está sendo feita em dois canais, um norte, com 750 quilômetros e outro, leste, com pouco mais de 600 quilômetros. A água é sugada da barragem de Sobradinho (BA), através de uma bomba, para abastecer esses canais, com 10 metros de profundidade e largura de 25 metros. Ao fazer essa obra, se altera toda a mecânica do São Francisco: o rio, que corria lento, passa a correr mais rapidamente, porque está tendo sua água sugada. Seus afluentes, então, também passam a seguir mais velozes. Isso acelera o processo de assoreamento e de erosão.
Consequentemente, aceleram a morte dos afluentes. Fazer a transposição do São Francisco simplesmente é estabelecer uma data para a morte do rio, para seu desaparecimento total. Podem até atender interesses econômicos e sociais de maneira efêmera, em curto prazo, mas em dez anos acabou tudo.
E será um processo rápido, assim?
Sim, é um processo de décadas. Basta ver o Rio Meia Ponte, na altura do Setor Jaó. Onde havia uma bonita cachoeira, na antiga barragem, há só um filete d’água. O nível da água do Meia Ponte é o mesmo do Córrego Botafogo há décadas atrás. Este praticamente não existe mais, a não ser por uma nascente muito rica no Jardim Botânico, que ainda o alimenta. Mas ele só parece mesmo existir quando as chuvas o enchem rapidamente. Mas, no outro dia, ele vira novamente um filete.
Goiânia foi planejada em função também dos cursos d’água. Tendo em vista o que ocorre hoje, podemos dizer que ela é, então, o cenário de uma tragédia hidrográfica?
Eu não diria que apenas Goiânia está realmente dessa forma. Mas foi toda uma política de ocupação do centro e do interior do Brasil que motivou essa ocupação desordenada, desde a época da Fundação Brasil Central, da Expedição Roncador–Xingu, depois a construção de Goiânia e de Brasília, a divisão de Mato Grosso e a criação do Tocantins. Isso é fruto do capital dinâmico que transforma a realidade. Vem uma urbanização rápida de áreas de campo, aumentando as ilhas de calor e, consequentemente, pela pavimentação, impedindo que as águas das chuvas se infiltrem para alimentar os mananciais que deram origem a essas mesmas cidades. Se continuar dessa forma, com esse tipo de desordenamento, podemos prever grandes colapsos sociais e econômicos no Centro-Oeste do Brasil. E não só aqui, mas nas áreas que aqui brotam.
O que significa quase toda a área do Brasil, não?
Sim, até mesmo a Amazônia. O Rio Amazonas é alimentado por três vetores: as águas da Cordilheira dos Andes, que é um sistema de abastecimento extremamente irregular; as águas de sua margem esquerda, principalmente do Solimões, que também é irregular, em que duas estiagens longas podem expor o assoreamento, ilhas de areias – ali foi um deserto até bem pouco tempo, chamado Deserto de Óbidos. Ou seja, o Amazonas é alimentado mesmo pelos rios que nascem no Cerrado, como Teles Pires (São Manuel), Xingu, Tapajós, Madeira, Araguaia, Tocantins. Estes caem quase na foz do Amazonas, mas contribuem com grande parte de seu volume. Ou seja, temos o São Francisco, já drasticamente afetado; o Amazonas, também afetado; e a Bacia do Paraná, afetada quase da mesma forma que o São Francisco, provavelmente com período de vida muito curto.
Será um processo tão rápido assim?
Uma vez que se inicia tal processo de degradação e de diminuição drástica do nível dos lençóis, isso é irreversível. Em alguns casos duram algumas décadas; em outros, até menos do que isso. Temos exemplos clássicos no mundo de transposições de rios que não deram certo e até secaram mares inteiros. No Mar de Aral, no Leste Europeu, há navios ancorados em sal. Sua drenagem é endorreica, fechada, sem saída para o oceano. A União Soviética, na ânsia de se tornar autossuficiente na produção de algodão, fez a transposição dos dois rios que abasteciam o mar. Resultado: no prazo de uma década, as plantações não vingaram, o mar secou e uma grande quantidade de tempestades de poeira e sal afetam 30 milhões de pessoas, causando doenças respiratórias graves, incluindo o câncer.
Com nossos rios, acontecerá o mesmo processo. A diferença é que o processo de ocupação aqui foi relativamente recente, a partir dos anos 1970. São 40 e poucos anos. Ou seja: em menos de meio século, se devastou um bioma inteiro. Não acabou totalmente porque ainda há um pouco de água. Mas, quando isso acabar, imagine as convulsões sociais que ocorrerão. Enquanto se está na fartura, você é capaz de repartir um copo d’água com o irmão; mas, no dia da penúria, ninguém repartirá. Isso faz parte da natureza do ser humano, que é essencialmente egoísta. Isso está no princípio da evolução da humanidade. A Igreja Católica chama isso de “pecado original”, mas nada mais é do que o egoísmo, apossar-se de determinados bens e impedir que outros usufruam deles. Isso já levou outros povos e raças à extinção. E pode nos levar também à extinção.
Até bem pouco tempo tínhamos duas humanidades: o homem-de-neanderthal, o Homo sapiens neanderthalensis; e o Homo sapiens sapiens. Hoje podemos falar também em duas humanidades: uma humanidade subdesenvolvida, tentando soerguer em meio a um lodo movediço; e outra humanidade, que nada na opulência. A questão é que, se essa situação persistir, brevemente teremos a pós e a sub-humanidade.
É um cenário doloroso.
É doloroso, mas são os dados que a ciência mostra. Tem jeito, tem perspectiva para um futuro melhor? Possivelmente, a saída esteja na pesquisa. Mas uma pesquisa precisa de um longo tempo para que apareçam resultados positivos. E nossas universidades não incentivam a pesquisa, o que é muito triste, porque essa é a essência de uma universidade.
O sr. vê, em algum lugar do mundo, trabalhos e pesquisas pensando em um mundo mais sustentável?
Não. O que existe é muito localizado e incipiente. Não tem grande repercussão. Mas, mesmo se fossem proveitosas, jamais poderiam ser aplicadas ao Cerrado, que é um ambiente muito peculiar. Teria de haver pesquisa dirigida especialmente para nosso bioma. Como recuperar uma nascente de Cerrado? Eu não sei dizer. Um engenheiro ambiental também não lhe dará resposta. Nenhum cientista brasileiro sabe a resposta, porque não temos pesquisas sobre isso. Talvez poderíamos ter um futuro melhor se houvesse investimentos em pesquisa.
E a educação ocupa que papel nesse contexto sombrio?
Nós, como educadores, deveríamos pensar mais nisso – e eu penso: talvez ainda seja tempo de salvar o que ainda resta, mas se não dermos uma guinada muito violenta não terá como fazer mais nada. É preciso haver real mudança de hábitos e mudar a forma de observar os bens patrimoniais do planeta e da nossa região. A água tinha de ser uma questão de segurança nacional. A vegetação nativa, da mesma forma. Os bens naturais teriam de ser tratados assim também, porque deles depende o bem-estar das futuras gerações. Mas isso só se consegue com investimento muito alto em educação, mudando mentalidade de educadores. As escolas têm de trabalhar a consciência e não apenas o conhecimento. Uma coisa é conhecer o problema; outra, é ter consciência do problema. A consciência exige um passo a mais. Exige atitude revolucionária e radical. Ou mudamos radicalmente ou plantaremos um futuro cada vez pior para as gerações que virão.
22.11.2014 | 03:00
O Estado de S. Paulo
A Companhia de Saneamento Básico do Estado de São Paulo (Sabesp) e o governo estadual estão se comportando como médicos do século passado. Sabendo que a doença é séria, se recusam a discutir o futuro com o paciente. Fazem o que podem para curar o doente, mas o poupam da angústia de enfrentar a realidade. Hoje, os médicos são educados para contar a verdade. Isso causa angústia, mas ao menos não priva o doente da liberdade de decidir como e onde quer viver enquanto espera o desfecho.
O Sistema Cantareira está se aproximando rapidamente do colapso. Quando não for possível retirar mais água das represas, 6 milhões de pessoas ficarão literalmente sem uma gota de água. É a parte da população de São Paulo que só pode ser abastecida pelo Cantareira. Esta é uma possibilidade real, cuja probabilidade é difícil de calcular. É por isso que vou tentar descrever de maneira objetiva a realidade hoje, deixando para os leitores as especulações sobre o futuro. Todos as informações foram extraídas de documentos oficiais da Agencia Nacional de Águas (ANA), do Departamento de Águas e Energia Elétrica (DAEE) e da Sabesp.
O Sistema Cantareira é composto por três represas. As duas maiores, Jaguari/Jacareí e Atibainha, representam 92% do sistema. Quando cheia até a borda, a Represa Jaguari/Jacareí (acompanhe pelo quadro nesta página) atinge a conta 844 (ou seja, 844 metros acima do nível do mar), armazena 1,047 bilhão de m3 de água (um m3 são 1.000 litros) e cobre uma área de 50 km2 (cada km2 corresponde a 100 quarteirões). No último dia 18, ela estava na cota 815,5, tendo baixado 28,5 metros, e continha somente 140 milhões de m3 de água (13,3% do máximo). Sua superfície cobria somente uma área de 16 km2, deixando 34 km2 de terra e lama expostos (é o que você pode ver nas fotografias publicadas diariamente).
Neste dia, foi iniciada a retirada da segunda fração da reserva técnica – também chamada de volume morto -, o que vai reduzir o volume para 42 milhões de m3 (4% do máximo) e reduzir a área coberta por água para 8 km2. O barro vai cobrir 84% da área da represa (o quadro mostra os mesmos números para a Represa do Atibainha).
É muito difícil acreditar que seja possível extrair dessas represas uma reserva técnica 3. Se ela existir, será muito pequena. A reserva técnica 1, de 182,5 milhões de m3, já foi consumida. A reserva técnica 2, de 106 milhões de m3, já começou a ser retirada da Represa de Jaguari/Jacareí e praticamente já foi toda retirada da Represa do Atibainha.
Os dados mostram que ainda restam 232 milhões de m3 nessas duas represas, sendo possível retirar 99 milhões de m3. Grande parte do restante não será possível utilizar.
Quando o nível da água baixou para 820, a água deixou de fluir por gravidade para o túnel. Para evitar a interrupção do fornecimento, foi construído um dique em volta do túnel. Grandes bombas flutuantes transportam a água para o interior do dique, de onde ela flui pelo túnel. Dessa maneira, foi possível retirar a chamada reserva técnica 1. Quando a água da parte de fora do dique acabou, um segundo dique foi construído, isolando um grande braço da represa para permitir a retirada da reserva técnica 2. Nesse segundo dique foi instalado um outro grupo de bombas. Hoje, as bombas do segundo dique transportam a água para esse braço isolado da represa e a água chega no primeiro dique, onde é bombeada novamente para poder alcançar a entrada do túnel. Como os locais em que a Sabesp decidiu instalar esses dois grupos de bombas não têm energia elétrica, grandes geradores movidos a diesel foram transportados até a proximidade das bombas. Caminhões-tanque levam o diesel por estradas precárias para manter os geradores ligados 24 horas. É desse esquema improvisado que agora dependem os 6 milhões de pessoas que recebem água do Sistema Cantareira.
O sistema de bombas é capaz de retirar até 20 m3 por segundo da represa (20 pequenas caixas de água por segundo). Mas o problema é que, atualmente, só chegam às represas, trazidos pelos rios, 6 m3 por segundo de água. Assim, a cada segundo, 14 m3 a mais do que chega são retirados da represa. A rápida velocidade de perda das reservas significa que a, cada dia, a represa perde 1,2 milhão de m3 de água.
Mantido esse ritmo de perdas, é fácil calcular que a duração das reservas atuais é de 79 dias até o término da reserva técnica 2 e de 6 meses até que toda a água existente na represa se esgote.
Para que esse prazo seja estendido é necessário que a entrada de água na represa aumente. Se os atuais 6 m3 por segundo aumentarem para um número menor do que 20 m3 por segundo, a represa vai continuar a ser delapidada, mais lentamente. Se ela chegar a 20 m3 por segundo (o mesmo que as bombas retiram hoje), a represa vai parar de esvaziar. Mas são necessários mais de 20 m3 por segundo, um aumento constante de 4 vezes no fluxo atual dos rios, para que a represa volte a encher.
O problema é que isso não está ocorrendo nestes dois primeiros meses de chuva deste final de ano (outubro e novembro) e não ocorreu nenhuma vez nos meses de chuva do início de 2014 (janeiro, fevereiro, março e abril).
É claro que pode chover, e espero que chova muito, mas se o futuro próximo se comportar como o passado próximo, 6 milhões de pessoas ficarão sem água. E, infelizmente, é impossível abastecer 6 milhões com caminhões-pipa. Como e onde essas pessoas vão viver até que o Cantareira se recupere ou outras represas tomem seu lugar? É isso que eu gostaria de saber.
MAIS INFORMAÇÕES: BOLETIM ANA/DAEE DE MONITORAMENTO DO SISTEMA CANTAREIRA (18/11/2014). PROJEÇÃO DE DEMANDA DO SISTEMA CANTAREIRA, SABESP, 2014, E DADOS DE REFERÊNCIA ACERCA DA OUTORGA DO SISTEMA CANTAREIRA ANA/DAEE, 2013
There are books to read from cover to cover in a week or two, and then there are the ones you dip into over and over again, because they aren’t books so much as encyclopedias.
Russell H. Tuttle’s Apes and Human Evolution is one of these. Like the late Stephen Jay Gould’s magisterial Structure of Evolutionary Theory, Tuttle’s tome is a grand synthesis of all the latest research and data about apes and their relation to us.
Tuttle is Professor of Anthropology, Evolutionary Biology, History of Science and Medicine and the College at the University of Chicago.
Tuttle believes that bipedalism preceded the development of the brain in early humans –and was likely something inherited from smaller apes already used to using their feet to move laterally along branches in trees. Although chimpanzees and bonobos are our closest relatives on the evolutionary tree, they do not represent in their own locomotion good proto-models of what led to human upright posture and walking.
While the book does not need to be read in any particular order, the first two chapters set the stage and the terminology for the rest of Apes and Human Evolution, which consists of five parts, totaling 13 dense chapters. A glossary of terms would have helped, but it’s not too much of a distraction to look up the specialist terms Tuttle introduces in these opening sections.
But lest you think it is intended chiefly for colleagues in the fields of anthropology and evolutionary biology, Tuttle’s style throughout is crisp and often witty. (The chapter on the development of human bipedalism, for example, is called ‘How to Achieve an Erection’.)
Professor Russell H. Tuttle, University of Chicago. Image courtesy of Phys.org.
The opening chapter, ‘Mongrel Models and Seductive Scenarios of Human Evolution’ discusses several hypotheses of human origins, some of which Tuttle argues are biased and which in recent years more detailed study of apes has refuted.
He has a low opinion, for example, of the idea that humans are in essence a species of ‘killer apes’, a notion that gained popularity during the last century. “The views of Charles Darwin,” he writes, “are restrained in comparison with the speculations by the advocates of killer ape scenarios, which flourished for several decades after the horrors of World War I and World War II.”
Darwin portrayed early man (his term) as having “sprung from some comparatively weak creature,” who was not speedy and who lacked natural bodily defenses, namely, formidable canine teeth. Consequently, this bipedal creature was stimulated to use his intellectual powers to make weapons for defense and hunting and to cooperate with “his fellow-men”.
What distinguishes humans among the approximately 400 extant species of primates? In Tuttle’s view, a constellation of morphological and behavioral characteristics, some of which only can be traced precisely through the fossil and archeological records.
Obligate terrestrial bipedalism, precision-gripping hands, reduced teeth and jaws, and ballooned brains can be identified if fossils are complete enough in the skeletal regions under study. Archeological artifacts and features can indicate the presence of tool use and manufacture, control of fire, fabricated shelters, bodily ornamentation, mortuary practice, plastic and graphic arts, and other indications of cognitive skills and culture.
There are also the features that can’t be easily found in fossils or the archeological records, primarily social: cooperation, the ability to enlist new members from outside the immediate community of hominids.
Space does not allow a detailed review of each chapter, summaries of which you can find here. But in the final part, ‘What Makes Us Human?’, Tuttle reveals more of his own philosophical reflections on the matter.
One passage that struck me, for example, occurs in the sub-section, ‘What is More Real: God or Race?’
I believe that God is an ever-increasing collective emergent of the love of all beings past, present and future, but this cannot be proven by available scientific methods of experimentation or controlled comparison. In contrast, the belief in race, in the sense of biological subspecies of Homo Sapiens, lacks a tangible basis; indeed, it has been proven unsupportable genomically, behaviorally, and phenotypically.
Individuals and political groups have manipulated both God and race for nefarious purposes, but actions rooted in the human capacity to affiliate with non-kin, to cooperate, and especially to unite in love and respect for the agency of others has given rise to a variety of constructive social codes that facilitate intragroup and extensive intergroup harmony and mitigate disruptive personal and social behavior.
Whereas scientists possess the means to eliminate belief in human races, they lack the means to eradicate belief in God, and frankly they are probably wasting time and treasure on the exercise.
There’s an optimism here I found somewhat reminiscent of the Jesuit paleontologist Teilhard de Chardin, who had a very goal-oriented view of humanity and its role in cosmic evolution.
I could’t resist asking Tuttle whether Teilhard’s writings had any influence on his own thought as he embarked on his career in the 1960s. This was around the time that Teilhard’s writings were becoming most influential.
“Quite the contrary,” Tuttle replied in an email. “I thought Phenomenon of Man was rubbish. Father Teilhard wanted to be an evolutionary biologist while not giving up God. He did a shoddy job of reconciling deep religious belief with evolutionary biology…for one, he was an orthogenecist [i.e., he believed in progressive, directional evolution, toward a universal goal].”
“I cannot see a reconciliation of the two realms,” Tuttle added. “I believe in the power of love which some or many see as an aspect of God. But I do not think there is a celestial, etherial being that is interested in us or that makes good or bad things happen.”
Tuttle elaborated on this in a recent review he wrote for the American Journal of Psychology: “As a Christian participant observer into my late teens, followed by two decades attempting to be an atheist, and then participation in the music ministry at a wide variety of churches over the past 30 years, I aver that the bonding of congregations based on love of God and one another are substantive enough to withstand the sarcastic remarks and mockery of professed atheists who command notable space in print media and on the airways.”
Apes and Human Evolution is also available in Kindle Edition. But given the slight difference in price, I recommend getting the print edition.
Date: November 10, 2014
Source: National Evolutionary Synthesis Center (NESCent)
Summary: New research finds that cultures living in harsher ecosystems with limited resources are more prone to a belief in moralizing, high gods. The results indicate that other cross-disciplinary factors, including as political complexity, also influence this belief.
Just as physical adaptations help populations prosper in inhospitable habitats, belief in moralizing, high gods might be similarly advantageous for human cultures in poorer environments. A new study from the National Evolutionary Synthesis Center (NESCent) suggests that societies with less access to food and water are more likely to believe in these types of deities.
“When life is tough or when it’s uncertain, people believe in big gods,” says Russell Gray, a professor at the University of Auckland and a founding director of the Max Planck Institute for History and the Sciences in Jena, Germany. “Prosocial behavior maybe helps people do well in harsh or unpredictable environments.”
Gray and his coauthors found a strong correlation between belief in high gods who enforce a moral code and other societal characteristics. Political complexity–namely a social hierarchy beyond the local community– and the practice of animal husbandry were both strongly associated with a belief in moralizing gods.
The emergence of religion has long been explained as a result of either culture or environmental factors but not both. The new findings imply that complex practices and characteristics thought to be exclusive to humans arise from a medley of ecological, historical, and cultural variables.
“When researchers discuss the forces that shaped human history, there is considerable disagreement as to whether our behavior is primarily determined by culture or by the environment,” says primary author Carlos Botero, a researcher at the Initiative for Biological Complexity at North Carolina State University. “We wanted to throw away all preconceived notions regarding these processes and look at all the potential drivers together to see how different aspects of the human experience may have contributed to the behavioral patterns we see today.”
The paper, which is now available online, will be published in an upcoming issue of the Proceedings of the National Academies of Science. To study variables associated with the environment, history, and culture, the research team included experts in biology, ecology, linguistics, anthropology, and even religious studies. The senior author, Gray, studies the intersection of psychology and linguistics, while Botero, an evolutionary ecologist, has examined coordinated behaviors in birds.
This study began with a NESCent working group that explored the evolution of human cultures. On a whim, Botero plotted ethnographic data of societies that believe in moralizing, high gods and found that their global distribution is quite similar to a map of cooperative breeding in birds. The parallels between the two suggested that ecological factors must play a part. Furthermore, recent research has supported a connection between a belief in moralizing gods and group cooperation. However, prior to this study, evidence supporting a relationship between such beliefs and the environment was elusive.
“A lot of evolutionists have been busy trying to bang religion on the head. I think the challenge is to explain it,” Gray says.
“Although some aspects of religion appear maladaptive, the near universal prevalence of religion suggests that there’s got to be some adaptive value and by looking at how these things vary ecologically, we get some insight.”
Botero, Gray, and their coauthors used historical, social, and ecological data for 583 societies to illustrate the multifaceted relationship between belief in moralizing, high gods and external variables. Whereas previous research relied on rough estimates of ecological conditions, this study used high-resolution global datasets for variables like plant growth, precipitation, and temperature. The team also mined the Ethnographic Atlas– an electronic database of more than a thousand societies from the 20th century– for geographic coordinates and sociological data including the presence of religious beliefs, agriculture, and animal husbandry.
“The goal became not just to look at the ecological variables, but to look at the whole thing. Once we accounted for as many other factors as we could, we wanted to see if we could still detect an environmental effect,” Botero says. “The overall picture is that these beliefs are ultimately shaped by a combination of historical, ecological, and social factors.”
Botero believes that this study is just the tip of the iceberg in examining human behavior from a cross-disciplinary standpoint. The team plans to further this study by exploring the processes that have influenced the evolution of other human behaviors including taboos, circumcision, and the modification of natural habitats.
“We are at an unprecedented time in history,” Botero says. “Now we’re able to harness both data and a combination of multidisciplinary expertise to explore these kinds of questions in an empirical way.”
Journal Reference:
Date: November 20, 2014
Source: University of Montreal
Summary: Despite the fact that 81% of Canadians accept that temperature on Earth is increasing, researchers have revealed that Canadians are generally misinformed about the science of climate change and are divided over the construction of new oil pipelines.
Despite the fact that 81% of Canadians accept that temperature on Earth is increasing, Université de Montréal researchers have revealed that Canadians are generally misinformed about the science of climate change and are divided over the construction of new oil pipelines. The researchers’ study also found that 70% of Canadians perceive significant changes in weather where they live; 60% believe that weather in Canada has been getting more extreme; and 87% believe these changes are somewhat or very likely the consequence of a warming planet.
The nationally representative telephone survey interviewed 1401 adult Canadians during the month of October, yielding a margin of error of +/- 2.6% in 19 of 20 samples. The study, run concurrently with researchers at the University of Michigan and Muhlenberg College in the US, highlights a stark contrast between the views of Canadians and Americans on the existence of climate change and support for pipelines, yet remarkable convergence on perceptions of weather and climate-related knowledge.
Hardly opinions based in fact
80% of Canadians, versus 60% of Americans, believe there is solid evidence that the average temperature on Earth has increased over the past four decades. This figure was significantly lower in Alberta (72%) and the Prairies (Manitoba and Saskatchewan, 60%.)
Of those who perceive an increase in temperature, 61% attribute the warming to human causes, compared to only 45% in the US. The figure was significantly higher in Quebec, at 71%, and significantly lower in Alberta, at 41%.
70% of Canadians perceive significant changes in weather patterns where they live, with 60% of Canadians perceive national weather is becoming more extreme, with highest figures in Ontario and on the Atlantic and Pacific coasts. These figures were 58% and 68% respectively for Americans.
Extreme weather is either somewhat (40%) or very (47%) likely the result of global warming, according to 87% of Canadians (and 68% of Americans.) Moreover, 59% of Canadians believe climate change will begin to harm people living in Canada within the next 10 to 25 years. A plurality of Canadians (35%) believe it already is.
Finally, two out of three Canadians (67%) believe the government is either not too prepared (34%) or not at all prepared (33%) for the consequences of a warming planet
Despite all this, more Americans (35%) than Canadians (30%) know that methane is a more potent greenhouse gas than carbon dioxide, while 60% of Canadians (and 45% of Americans) believe that carbon dioxide emissions are responsible for the hole in the ozone layer.
Pipelines and politics
Canadians are more likely to oppose (44%) than support (36%) the Keystone XL energy pipeline, while 20% have a neutral opinion. The opposite is true on the other side of the border: the figures are 34%, 52% and 14%, respectively. However, support is highest among self-identified supporters of the federal Conservative Party of Canada (55%), mirroring the polarized situation in the United States, where 72% of Republicans support the project against 39% of Democrats.
Within Canada, support for Keystone XL was highest in Alberta (58%). At 50%, Trans Canada’s Energy East project has greater support than Keystone XL, but opinions vary substantially across regions. At the high end, 68% of citizens in Alberta support the project, compared to a low of 33% of citizens in Quebec.
Finally, support for a system of cap and trade in Canada has increased to 60% in 2014, and continues to be more popular among Canadians than a carbon tax (48%).
“When you dig into the data, you see that Canadians are beginning to connect the dots between the notion of ‘climate change’ and observable changes in weather where they live. However, Canadians lack a certain degree of climate literacy, and it would be a mistake to assume that all Canadians are on the same page when it comes to fundamental climate science,” explained Erick Lachapelle, Assistant Professor of Political Science at the University of Montreal and principal investigator for the Canadian portion of the study. “The public is not as informed as perhaps they should be about this important issue, and there continues to be wide variation across the country, in terms of perceptions, beliefs, and preferences. The division over pipelines is a case in point.”
About the poll
The National Survey of Canadian Public Opinion on Climate Change was designed by Erick Lachapelle (Université de Montréal), Chris Borick (Muhlenberg College) and Barry Rabe (University of Michigan). The survey was administered to a nationally representative sample of 1,401 Canadians aged 18 and over. All interviews were conducted via telephone in English and French from 6 October 2014 to 27 October 2014. Calls were made using both landline and mobile phone listings. The margin of sampling error for the full sample is plus or minus 2.6% in 19 of 20 samples. Regional margins of error vary according to subsample size. Results reported here are weighted according to gender, age, language and region to reflect the latest population estimates from Statistics Canada (Census 2011).
Stefanie Fishel (Hobart and William Smith College: Posthuman Personhoods: Corporations, Dolphins and Ecological Security”. Talk given at the “Posthuman Security Ethics” workshop, 26-7 June 2014.
About Bateson
[11.19.04]

Introduction
November 20, 2004 — In 1974, in honor of my friend Gregory Bateson’s 70th birthday, I asked him if he would give his blessing to a book I was planning about his work. He agreed, and the result was About Bateson, a volume of original essays about his work and ideas by interesting thinkers in various fields bracketed by my Introduction and his Afterword, both of which follow below.
Gregory Bateson was one of the most important and least understood thinkers of the twentieth century. Bateson originated the double bind theory of schizophrenia, was the first to apply cybernetic theory to the social sciences, and made important biological discoveries about such nonhuman species as the dolphin. His book, Steps To An Ecology of Mind, published in 1972, attracted widespread attention. We met in April, 1973 at the AUM Conference (“American University of Masters”) at Esalen in Big Sur, where we immediately became friends, and where he convinced me to become an agent. Within a month I had founded Brockman, Inc. and sold his book The Evolutionary Idea (ultimately published under the title Mind In Nature).
While Gregory was very much alive, with his blessing and mentoring, I conceived of, and edited, a book entitled About Bateson, a book which featured seven substantial essays by eminent thinkers in their own right-containing their own interpretations of and reactions to Bateson’s work.
In the 250-page volume, Mary Catherine Bateson discussed her father’s treatment of the concept of wisdom and love-the “lucid” computations of the heart”; Ray Birswhistell analyzed Bateson’s unique methodology; David Lipset provided a short biography of the thinker’s wary years; Rollo May discussed Bateson’s humanism; Margaret Mead explored his effect on cross-cultural analysis (Groegory her 2nd husband); Edwin Schlossberg contributed a piece on consciousness, social change, and cybernetics. As editor, I wrote the introductory essay. The book concluded with Gregory Bateson’s own original 12-page Afterword, in which he presented his latest thinking on his life’s work. Also included was a 2-page CV and a Bibliography page of his book.
At that time, Bateson contended that as a result of advances in cybernetics and fundamental mathematics, many other areas of thought have shifted. In The Evolutionary Idea, a proposed new book, he planned to gather together those new advances to present an alternative to then current orthodox theories of evolution. This alternative view was to stress the role of information, that is, of mind, in all levels of biology from genetics to ecology and from human culture to the pathology of schizophrenia. In place of natural selection of organisms, Bateson considered the survival of patterns, ideas, and forms of interaction,
“Any descriptive proposition,” he said, “which remains true longer will out-survive other propositions which do not survive so long. This switch from the survival of the creatures to the survival of ideas which are immanent in the creatures (in their anatomical forms and in their interrelationships) gives a totally new slant to evolutionary ethics and philosophy. Adaptation, purpose, homology, somatic change, and mutation all take on new meaning with this shift in theory.”
Bateson had an endless repertoire of concepts and ideas to talk about. A typical conversation might be about metaphor versus sacrament, schismogenesis, metaphysics, explanatory principles, heuristic versus fundamental ideas, the value of deduction, steady state society, metapropositions, deuterolearning, cybernetic explanation, idea as difference, logical categories of learning, mental determinism, end linkage, and on and on.
While his ideas did take hold in some fields (schizophrenia, family therapy, among others), the natural audience for his work, the evolutionary biologists, had little interest in him. The mainstream thinkers in that field believed his ideas were muddled. This is one of several reasons why he ultimately abandoned the The Evolutionary Idea, which was to have been the first major restatement of evolutionary theory in half a century. Based on his previous experience, he was worried about the difficulty of getting across his ideas. The implications of the theory are based on acceptance of a radical new order of things, a worldview totally alien to our traditional Western way of thinking.
Aspects of this worldview derived from his association in the 1940s with Warren McCulloch, John von Neumann, Claude Shannon, and Norbert Wiener et al, who were all present at the creation of cybernetic theory. It was the radical epistemology behind these ideas seemed to inform a lot of this thinking. “The cybernetic idea is the most important idea since Jesus Christ.,” he once told me.
And this is where we connected, as my book, By The Late John Brockman, which was very much on the radar screen at that time, was nothing if not a radical epistemological statement on language, thought, and reality. I had written the trilogy that ultimately comprised the book with no reference to Bateson as I had not read him and had barely heard of him until I was invited to the AUM conference in 1973 (my late invitation was sent when the organizers, John Lilly and Alan Watts, both strong supporters of my book, found out their keynote speaker, Richard Feynman, was ill, and they needed a replacement. Only when I arrived at the conference did I find out what I was walking into.)
“Evolutionists are an anxious, conservative, and spiteful bunch,” Bateson said. “In fact, they kill each other.” Bateson was referring to the famous affair involving his father, William Bateson, the preeminent British scientist of his day who, picking up on the work of Mendel, coined the word “genetics” and began the field, and William Kammerer, the Austrian biologist. Kammerer, a Lamarckian, committed suicide over research involving the inherited characteristics of the midwife toad. “I don’t think they will like this book very much,” Bateson said, realizing that he will be straying far from the traditional debate of natural selection versus inherited characteristics. “I shall not write the book. I am too old and too sick to fight the fight”.
But he was always willing to travel, to interact with all kinds of people in order to present his ideas. This would lead him into strange surroundings, where the participants had no idea of what to expect and were not prepared for his depth and erudition. “Why do you bother?” I ask in reference to this particularly moribund gathering. It is clear that few here have any inkling of what he is saying. “One simply keeps going,” he says gently, “and leaves the name behind.” It wasn’t easy making a living as an epistemologist, he noted.
Yet, he did receive recognition. Charles Roycroft, British psychoanalyst, was quoted in the Seventy-Fifth Anniversary Issue of the Times Literary Supplement as saying that Gregory Bateson was the most underrated writer of the past seventy-five years.
Bateson is not easy. The only way to “get” Bateson is to read him. To spend time with him, in person or through his essays, was a rigorous intelligent exercise, an immense relief from the trivial forms that command respect in contemporary society
—JB

GREGORY BATESON: THE CENTENNIAL
(JOHN BROCKMAN:) It is March 1973 in Big Sur. California. A diverse group of thinkers are assembled to spend ten days together exploring the work of British mathematician G. Spencer Brown. Alan Watts and John Lilly, the coorganizers, are billing the event as “The AUM Conference.” shorthand for The American University of Masters.
They have gathered together intellectuals, philosophers, psychologists, and scientists. Each has been asked to lecture on his own work in terms of its relationship to Brown’s new ideas in mathematics. C. Spencer Brown lectures for two days on his Laws of Form. Alan Watts talks of Eastern religious thought. John Lilly discusses maps of reality. Karl Pribram explores new possibilities for thinking about neuroscience. Ram Dass presents a spiritual path. Stewart Brand lectures on whole systems. Psychologists Will Schutz, Claudio Naranjo, and Charles Tart are in attendance. Heinz von Foerster holds forth on cybernetic modeling. My own topic is “Einstein, Gertrude Stein, Wittgenstein, and Frankenstein.”
Perhaps, of all the “Masters” present, Gregory Bateson, at sixty-eight, is at once the best known and the least known. Among his assembled peers, his reputation is formidable. At the AUM Conference, stories of his profound effect on postmodern thinking abound. Yet few outside the relatively small circle of avant-garde thinkers know about him or his work.
There is valid reason. Bateson is not very accessible. His major book, Steps to an Ecology of Mind, is just being published. It is a collection of essays he has written over a thirty-five-year period.
Bateson begins lecturing in the conference room. Clearly he is held in awe by his colleagues. Nothing in his imposing presence detracts from his reputation. He is a large man with a deep rich voice imbued with an unmistakable English accent. There is an air of authenticity about him.

Nora Bateson, Gregory Bateson, John Brockman at Aum Conference, 1973
His talk is filled with brilliant insights and vast erudition as he takes us on a tour of subjects that include zoology, psychiatry, anthropology, aesthetics, linguistics, evolution, cybernetics, and epistemology’. “The point,” he says, “is that the ways of nineteenth-century thinking are becoming rapidly bankrupt, and new ways are growing out of cybernetics, systems theory, ecology, meditation, psychoanalysis, and psychedelic experience.”
As he talks I look through a paper he has left for us as we entered the room. “Form, Substance, and Difference” is the nineteenth Korzybski Lecture, delivered by Bateson in 1970. In it he points out that he’s touched on numerous fields but is an expert in none. He’s not a philosopher, nor is anthropology exactly his business. This doesn’t help me much. All I know about him is that he has an anthropological background, was once married to Margaret Mead, and was a prime mover behind the important Macy Conferences in Cybernetics in the 1940s.
His theme in the Korzybski Lecture was the same as his theme today: “the area of impact between very abstract and formal philosophic thought on the one hand and the natural history of man and other creatures on the other.” His ideas are clearly of an epistemological nature. He asks us to do away with our Newtonian language, our Cartesian coordinates, to see the world in terms of the mind we all share. Bateson presents a new approach based on a cybernetic epistemology: “The individual mind is immanent but not only in the body. It is immanent also in the pathways and messages outside the body; and there is a larger mind of which the individual mind is only a subsystem. This larger mind is comparable to God and is perhaps what some people mean by ‘God,’ but it is still immanent in the total interconnected social system and planetary ecology.”
~
“Very few people have any idea of what I am talking about,” Bateson says as he picks at a piece of fish in a Malibu restaurant. We are having dinner and discussing his plans for a new book concerning evolutionary theory. It is June 1973. (At the AUM Conference in March, I had been pressed into service as a literary agent.)
Bateson defies simple labeling, easy explanation. People have problems with his work. He talks of being an explorer who cannot know what he is exploring until it has been explored. His introduction to Steps states: “I found that in my work with primitive peoples, schizophrenia, biological symmetry, and in my discontent with the conventional theories of evolution and learning, I had identified a widely scattered set of bench marks as points of reference from which a new scientific territory could be defined. These bench marks I have called ‘Steps’ in the title of the book.”
But this is where Bateson gets difficult. Just what is this new scientific territory’? Most people look for the next place, the next piece of knowledge. Instead, Bateson presents an epistemology so radical that as one climbs from step to step, the ground supporting the ladder abruptly vanishes. Not easy, this cybernetic explanation of Gregory Bateson. Not comfortable. Not supportive. Not loving. The center dissolves, and man is dead; and in his place we have the metaphysical “I”. So dismiss yourself; let go: There’s nothing lost.
~
Bateson’s readers often find it difficult to grasp that his way of thinking is different from theirs. His students believe that he is hiding something from them, that there’s a secret behind his thinking that he won’t share. There’s something to this. Bateson is not clearly understood because his work is not an explanation, but a commission, As Wittgenstein noted, “a commission tells us what we must do.” In Bateson’s case, what we must do is reprogram ourselves, train our intelligence and imagination to work according to radical configurations. Heinz Von Foerster points out that “the blessed curse of a meta-language is that it wears the cloth of a first-order language, an ‘object language.’ Thus, any proposition carries with it the tantalizing ambiguity: Was it made in meta or in object language?” Nobody, knows and you can’t find out. All attempts to speak about a meta-language, that is, to speak in meta-meta-language, are doomed to fail. As Wittgenstein observed: “Remain silent!” But Bateson cannot remain silent. His childlike curiosity, his intellectual vigor and strength compel him to continue exploring new ground.
Yet he is hesitant about writing his new book. The Evolutionary Idea will be the first major restatement of evolutionary theory in half a century. Based on his previous experience, he is worried about the difficulty of getting across his ideas. The implications of the theory are based on acceptance of a radical new order of things, a worldview totally alien to our traditional Western way of thinking.
“Evolutionists are an anxious, conservative, and spiteful bunch,” he says. “In fact, they kill each other.” Bateson is referring to the famous affair involving his father, William Bateson, and William Kammerer, the Austrian biologist. Kammerer, a Lamarckian, committed suicide over research involving the inherited characteristics of the midwife toad. “I don’t think they will like this book very much,” Bateson says, realizing that he will be straying far from the traditional debate of natural selection versus inherited characteristics.
Bateson contends that as a result of advances in cybernetics and fundamental mathematics, many other areas of thought have shifted. In The Evolutionary Idea, he will gather together these new advances to present an alternative to current orthodox theories of evolution. This alternative view will stress the role of information, that is, of mind, in all levels of biology from genetics to ecology and from human culture to the pathology of schizophrenia. In place of natural selection of organisms, Bateson will consider the survival of patterns, ideas, and forms of interaction,
“Any descriptive proposition,” he says, “which remains true longer will out-survive other propositions which do not survive so long. This switch from the survival of the creatures to the survival of ideas which are immanent in the creatures (in their anatomical forms and in their interrelationships) gives a totally new slant to evolutionary ethics and philosophy. Adaptation, purpose, homology, somatic change, and mutation all take on new meaning with this shift in theory.”
~
It is the morning after our dinner discussion about the new book. Bateson, about forty other people, and I are together for a two-day seminar to explore “Ecology of Mind.” Most of the people have paid one hundred dollars to hear Bateson talk. The auspices are an institute for humanistic development. The audience appears to be interested in self-help and personal awareness. This is the first opportunity I have had to hear him speak before a general audience. After the excitement surrounding his performance at the AUM Conference, I am preparing myself for another memorable experience.
Bateson slowly guides us through his endless repertoire of concepts and ideas. He talks about metaphor versus sacrament, schismogenesis, metaphysics, explanatory principles, heuristic versus fundamental ideas, the value of deduction, steady state society, metapropositions, deuterolearning, cybernetic explanation, idea as difference, logical categories of learning, mental determinism, end linkage, and on and on.
After a few hours, the attention of the group begins to wander. Many appear to be bored. By the end of the first day, at least one-third of the people have left. Bateson is unperturbed. Many people seek him out for the wrong reasons: for entertainment; for answers; as a guru. He explains that his receptions vary from the extreme boredom of this day to the excitement of the Macy Conferences of the 1940s. Still, he is always willing to travel, to interact with all kinds of people in order to present his ideas. “Why do you bother?” I ask in reference to this particularly moribund gathering. It is clear that few here have any inkling of what he is saying. “One simply keeps going,” he says gently, “and leaves the name behind.”
~
Christmas time, 1973. I am about to approach a publisher to sell rights to The Evolutionary Idea. I had phoned Bateson requesting a biographical sketch. His letter arrives:
“John Brockman suggests that I write you a personal letter telling you who I am. I enclose an outline curriculum vitae,* to which I will add as follows.
“My father was William Bateson, F.R.S., geneticist, a fellow of St. John’s College, and first director of the John Innes Horticultural Institute, which was and still is a large genetical research institute.
“Boyhood was mainly devoted to natural history: butterflies and moths, beetles, dragonflies, marine invertebrates, flowering plants, etc.
“Cambridge was mainly biology until I got a chance to go to the Galapagos Islands, where I realized that I did not know what to do with field natural history. In those days, biology, both in field and lab, was mainly taxonomy, and I knew that was not what I wanted to do. So, on return to Cambridge, I took anthropology under A. C. Haddon, who sent me out to the Sepik River, New Guinea, to study historical culture contact between the Sepik and the Fly River peoples. This was the equivalent in anthropology of taxonomy in biology. The result was two field expeditions, groping very unhappily for what one could do to establish some theory in anthropology. The final product was Naven, a book which was then very difficult for people to read but is gradually coming into almost orthodoxy. Levi-Strauss has worked on some of the problems of cultural structure which I raised then, and I think he’s done a good deal to make my stuff readable and ‘safe’ for anthropologists.
“After that, field work in the Dutch Indies, in Bali, with my wife Margaret Mead. Then I did an elaborate photographic study of personal relations among the Balinese, especially interchange between parents and children. This was published with about 700 photographs as Balinese Character.
“Not much of my period of fellowship at St. John’s College was spent in Cambridge. I was mostly in New Guinea and Bali. But of course it was an important piece of my life, and there were important people-L. S. B. Leakey, Harold Jeffries, Claude Guillebaud, Reginald Hall, Teulon Porter, Sir Frederick Bartlett, and others.
“In those days I was on the sidelines of the anthropologically famous battles between Radcliffe-Brown and Malinowski. I’d taught under Radcliffe-Brown in Sydney and learned a great deal from him, some of which got built into Naven (the hook-up with French anthropology came down to me from Durkheim and Mauss through Radcliffe-Brown, who was a great admirer of them). I enjoyed Malinowski very much, loved him, but thought him a lousy’ anthropological theorist. Most of my colleagues (other than his students) hated his guts but were dreadfully afraid that he was a great theorist.
“In World War II, I came running back to England in September 1939 while Margaret was having a baby* in New York. I was promptly advised to return to America to help America join England. The Japanese finally did that for us. And I went through the war with the American Office of Strategic Services as a psychological planner. I don’t think I helped the war much, but we did run four issues of an underground newspaper behind the Japanese lines in Burma.
(* Mary Catherine Bateson)
‘Oh yes, before I went overseas I had a job analyzing German propaganda films in the Museum of Modern Art, New York City, and just before going overseas, I had met Warren McCulloch and Bigelow, who were all excited about ‘feedback’ in electronic machinery. So while I was overseas, and mostly bored and frustrated, I occasionally comforted myself by thinking about the properties of closed self-corrective circuits. On arrival back in New York I went straight to the Macy Foundation to ask for a conference on these things. Fremont-Smith said, ‘McCulloch was here a week ago with the same request, and he’s going to be the chairman.’ Membership in those conferences, with Norbert Wiener, John Von Neumann, McCulloch, and the rest, was one of the great events in my life. Wiener coined the word ‘cybernetics’ for what it was we were discussing.
“I was gently dropped from Harvard because a rumor got around, ‘Bateson says anthropologists ought to be psychoanalyzed.’ I did not say this, and I don’t think I even believed it, but if they thought this was a good reason for dropping me, then I was probably lucky to be dropped. I was immediately picked up by Jurgen Ruesch for his research project in the Langley Porter Clinic, a psychiatric institution. This was the beginning of fourteen years of association with psychiatry, where I did my best, again, to bring formal theory into a very unformed Augean stable. The result was the so-called double bind hypothesis, which provided a framework for the formal description of schizophrenic symptoms and the experience of the schizophrenic in his family. I think this held up and still holds up pretty well in the face of a lot of misunderstanding and a little criticism. I am still pretty sure that something like the double bind story is an essential part of the phenomenon called ‘schizophrenia.’ In England my chief admirer in this field is Ronnie Laing. (By the way, you will probably run into rumors that Ronnie got too many of his ideas from me. I don’t think this is really true. He certainly got some, and it is after all the purpose of scientific publication to spread ideas around, and I don’t think he could at all be accused of plagiarism. I, too, have benefited by reading his stuff.)
“Enough mental hospitals and schizophrenic families is after a while enough, so I went off in 1963 to study dolphins, first under John Lilly, and then in Hawaii with the Oceanic Institute. A fascinating but terribly difficult animal to study. But they forced me to straighten out my contributions to learning theory and what’s wrong with B. F. Skinner. But alas, the Institute went broke.
“So here I am, corrupting the minds of the youth in the University of California at Santa Cruz. And also the minds of the faculty. I have a class for seventy students called ‘The Ecology of Mind.’ For this I have six section leaders, who are fully grown-up professors, a molecular biologist, an astronomer from Lick Observatory, a tidepool zoologist, a historian, a literary bloke, and a self-unfrocked Jesuit. What I mean is that my stuff is relevant and sometimes difficult for all sorts of people. On the whole, the students get more out of it than the grown-ups.’
~
Fifty-odd pages of The Evolutionary Idea have arrived. It is April 1974. The material is dense and difficult. I have responded with faint praise and well-intentioned criticism, urging Bateson to open it up, be more chatty, try to include the human, the anecdotal, and so forth. I have asked if the format of a metalogue between a father and a young daughter is necessary. Why can’t the ideas be presented in a more traditional form? Bateson’s letter is biting:
“I have now your letter of April 16th, your long-distance telephone call of the day before yesterday, and some pieces of telephone talk in New York. All these tend in the direction of ‘please be more prolix.’ I tossed the first two chapters in the wastepaper basket at four o’clock this morning and shall probably do so again tomorrow. I think the real difficulty is that some readers (et tu, Brute?) just do not believe that I mean what I say. I suspect they think it is all a sort of entertainment and hope to come out at the end feeling refreshed. Believe me, John, that is not at all what it is about. Anybody who really reads and notices what is said and after several readings be gins to understand it, will come out in despair and nearer to tears than laughter.
“In any ease, my colleagues writing in the same field, whether terse or prolix, are incredibly difficult. The ideas which we deal with are difficult, painful, and foreign ideas. If you doubt this, I suggest a dose of Immanuel Kant as an example of the prolix, or a dose of Wittgenstein’s Tractatus as an example of the terse. Honestly, I believe Kant is the more difficult.
“There are good and serious reasons why one party in the metalogues has to be in the period of sexual latency. This is not just in order to be cute; it is in order to be acute.
“For the rest, I will try not to let your remarks disturb me. I am, alas, too liable to let that sort of thing enrage me.
“There is a cute story going around about Picasso. A gent wanted him to paint things in a more representational manner, ‘like this photograph of my wife. It is really like her.’ Picasso looked at it and said, ‘She is small, isn’t she? And fiat.'”
~
New technology equals new perception. The English biologist J. Z, Young points out that man creates tools and then molds himself in their image. Reality is manmade. An invention, a metaphor.
“The heart is a pump” is a statement we all accept as a truism. “The brain is a computer” is a statement that usually brings forth cries of humanistic horror. We seem to forget that the first statement is a creature of Newtonian mathematics. Newton created a mechanistic methodology. We invented ourselves in terms of its descriptive language.
We don’t say the heart is like a pump. The heart is a pump. The metaphor is operational.
Although many of us are not ready for it, within a few years we will all recognize that the brain is a computer. This will be a result of the cybernetic ideas developed by such men as Gregory Bateson, Norbert Wiener, Warren McCulloch, Cordon Pask, Ross Ashby, John Von Neumann, Heinz Von Foerster, and John Lilly, to name a few. New technology equals new perception. The words of the world are the life of the world. Nature is not created. Nature is said.
We are just now beginning to recognize the new order resulting from the development of the science of cybernetics. Bateson believes that the cybernetic explanation is the most important fundamental intellectual advance of the last two thousand years. It tears the fabric of our habitual thinking apart. Subject and object fuse. The individual self decreates. It is a world of pattern, of order, of resonances.
Bateson is special. He is the only living person fully equipped to construct a bridge between the world of nineteenth-century science and the cybernetic world of today. He has lived on both sides of the bridge. On one side, the solid world embodied by his father, William Bateson, on the other side, the undone world of Gregory Bateson, a world of language, communication, and pattern.
~
Bateson is sitting in my living room in May 1974. Today is his seventieth birthday. As we prepare for a big party, I suggest the possibility of organizing a hook in his honor. “I hope that if there were such a book that it focus on the ideas and what they are doing to us,” he says.
We talk and plan. Bateson gives his blessing to the project. Steps to An Ecology of Mind is by no means an easy or popular presentation of the core problems he has addressed himself to. We decide to invite a number of his friends and colleagues to contribute original essays, using Steps as a springboard, something either to disagree with or to take off from. Bateson writes a letter for the invitees. In the letter he suggests:
“Possible angles which the authors might cover include: changed perceptions of the Self; changed concepts of responsibility; changed feelings about time; money; authority; attitudes toward environment; sex; children; family; control and law; city planning; biological bases for human planning and ethics; the seeking of optimal and homeostatic goals rather than maxima; population control; changes in the balance between ‘feelings’ and ‘intellect’; changes in educational methods; new horizons in psychiatry; etc., etc.
“The possible field is very wide, but in sum what I would like to see would be a thoughtful forum on the subject of what you all (and I, too) are doing to the premises of civilization.”
~
Eight people, myself included, will contribute to the book. Mary Catherine Bateson (anthropologist and the daughter of Bateson and Margaret Mead), Ray L. Birdwhistell (expert in kinesics and communication), David Lipset (Bateson’s authorized biographer), Rollo May (humanistic psychologist), Margaret Mead (anthropologist and Bateson’s first wife), Edwin Schlossberg (physicist and environmental designer), and C. H. Waddington (geneticist). Unfortunately, Waddington dies before his piece is completed.
Other invited people are too busy with their own work or have problems with Bateson’s ideas. His insistence on strict, as opposed to loose, thinking is most apparent with regard to his attitude toward his close friends and colleagues. It is December 1974, and I have just received his correspondence with a famous psychologist and author (who is not represented in this book). The psychologist plans to write about energy. “Everybody talks about it and nobody knows what it means,” he says.
Bateson’s response typifies the rigor of his precise thinking.
~
“You say ‘energy’ and qualify the word by saying that neither you nor anybody knows what it is.”But that (the qualifying comment) is not quite true, because, after all, we (scientists) made up the concept and therefore know (or should know) what we put into it.
“What is on the other side of the fence, of course, we do not know. But we made the concept to cover what we thought was ‘out there’ and gave the concept what we thought were appropriate characteristics. These latter we know, because we put them where they are, inside that word ‘energy.’
“I am strongly of the opinion that these well-known characteristics are not appropriate to the sort of explanatory principle which psychologists want to make of the concept.
“1) ‘Energy’ is a quantity. It is indeed rather like ‘mass,’ which is another quantity. Or ‘velocity.’ None of these is a ‘substance’ or a ‘pattern.’ They are quantities, not numbers.
“2) ‘Energy’ is a very tightly defined quantity, having the dimensions ML(2)/T(2) (i.e., (mass X length X length) ÷ (time X time), or, more familiarly, mass X velocity (2)).
“Now the rub is that no quantity can ever generate a pattern, and to assert that this can occur is precisely the entering wedge of the new supernaturalism, for which Freud, Marx, and Jung are much to blame. (They ‘could’ have known better.)
“Quantity, of course, can and often does develop and intensify latent difference but never creates that difference. Tension may find out the weakest link in the chain but it is never the explanation of how that particular link came to be the weakest (Indeed the characteristic called ‘being weakest’ is not inherent in that link but precisely in the relation between that link and the others. ‘It’ could be ‘protected’ by filing one of the others!).
“3) The next step in supernaturalism alter the invocation of ‘energy’ is the belief in Lamarckian inheritance and ESP. After that the next step is the assertion that man contains two real existing principles, viz., a Body and a Soul. After that, any sort of tyranny and oppression can be rationalized as ‘good’ for the victim.”
“So there is a slot in our proposed book for arguments in favor of ‘energy’ as an explanatory principle, but such arguments in that context will necessarily be controversial. I urge you to treat ‘energy’ as a controversial issue, not as a ‘matter-of-course.’
“Personally I have never been able to see or feel why this very ‘mechanical’ metaphor (‘energy’) appeals to especially humanistic psychologists. What are the arguments for this metaphor rather than ‘entropy’ (which is still a sort of quantity)? What characteristics of the original concept (energy or entropy) are to be carried over when the concept is used metaphorically to explain action or (?) anatomy?
“Are you familiar with Larry Kubie’s paper,* long ago, in which he neatly and (I think) completely exploded the whole Freudian ‘economics’ of energy? It was that paper that earned him his place at the Macy Cybernetic conferences. But he never contributed anything there. I guess they slapped his wrist for heresy.
(* “Fallacious Use of Quantitative Concepts in Dynamic Psychology,” Psychoanalytic Quarterly 16 (1947): 507-18.)
“Finally, believe me that the intensity of passion and care spent upon this letter is a function of both my esteem for you and my hatred of the principles which hide behind the use of ‘energy’ (and ‘tension,’ ‘power,’ ‘force,’ etc.) to explain behavior.”
~
It is January 1977. The publisher has called. The book is overdue. The pieces have been written, discussed, and edited. They provide an excellent entry into areas of Bateson’s thought. The contributors have measured his work in terms of its effect, in terms of information.
I call Bateson in Santa Cruz to discuss the introduction. Before we get down to business, he tells me that Governor Brown has just named him to the Board of Regents of the University of California. Also, Charles Roycroft, British psychoanalyst, is quoted in the Seventy-Fifth Anniversary Issue of the Times Literary Supplement as saying that Gregory Bateson is the most underrated writer of the past seventy-five years.
I would like to interview Bateson for the introduction, but this proves logistically impossible. Thus I must edit my thoughts, notes, and our correspondence to present him to the reader. The present piece, I realize, is hardly a comprehensive introduction to the man and his work. But, as Bateson might say, it is a “step.” It is important that readers realize that although this book is an introduction to Gregory Bateson, the only way to “get” Bateson is to read him. Study him. Editing this book has been, for me, most important. I found it necessary to force myself to sit quite still for many, many hours and study (not read) Steps to an Ecology of Mind, a rich, exhilarating experience. Roycroft is correct. Bateson is the most underrated writer of the century. To spend time with him, in person or through his essays, is rigorous intelligent exercise, an immense relief from the trivial forms that command respect in contemporary society.
~
I ask Bateson to write an afterword to the book. “What do you want me to write about?” he responds. I am most interested in his ideas on cybernetic explanation and epistemology. While pondering his question, I remember a conversation with cultural anthropologist Edward T. Hall, who pointed out to me that the most significant, the most critical inventions of man were not those ever considered to be inventions, but those that appeared to be innate and natural. To illustrate the point, he told a story of a group of cavemen living in prehistoric times. One day, while sitting around the fire, one of the men said, “Guess what? We’re talking.” Silence. The others looked at him with suspicion. “What’s talking?” one of them asked. “It’s what we’re all doing. Right now. We’re talking!” “You’re crazy,” another man replied. “Who ever heard of such a thing?” “I’m not crazy,” the first man said, “you’re crazy. We’re talking.” And it became a question of “who’s crazy?” The group could not see or understand because “talking” was invented by the first man. The moment he said “We’re talking” was a moment of great significance in the process of evolution.
~
A modern-day descendant of Hall’s caveman is Gregory Bateson. He is busy inventing something, an invention so profound that once fully propounded, it will seem always to have been “natural.” The full impact of Bateson’s thinking is so radical that, yes, I have doubts that he fully believes in his own ideas. This is the way it has to be. He has entered no man’s land. He is trying something new. “We’re talking.”
When you first suggested this volume and undertook to put it together, I said, “Don’t let it be a Festschrift,” and we agreed that you would ask your authors rather for some work and thinking of theirs that might have developed out of or alongside some part of my work. You would ask not for praise or criticism, but for some original material of theirs. So let me thank them, and then become, myself, one of your authors. Rather than replying to the other authors, let me tell you where I stand today and what, for me, came out of all that work in New Guinea and Bali and, later, with schizophrenics and dolphins.
As you know, the difficulty was always to get people to approach the formal analysis of mind with a similar or even an open epistemology. Many people claim to have no epistemology and must just overcome this optimism. Only then can they approach the particular epistemology here proposed. In other words, two jumps are required of the reader, and of these the first is the more difficult. We all cling fast to the illusion that we are capable of direct perception, uncoded and not mediated by epistemology. The double hind hypothesis, i.e., the mental description of schizophrenia—was itself a contribution to epistemology, and to evaluate it was an exercise, if you please, in a sort of metaepistemology. Epistemology itself is becoming a recursive subject, a recursive study of recursiveness. So that anybody encountering the double bind hypothesis has the problem that epistemology was already changed by the double bind hypothesis, and the hypothesis itself therefore has to be approached with the modified way of thinking which the hypothesis had proposed.
I am sure that none of us in the 1950s realized how difficult this was. Indeed, we still did not realize that, if our hypothesis was even partly correct, it must also be important as a contribution to what I have sometimes called the “fundamentals” our stock of “necessary” truths.
So what I have to do now is to tell you how, for me, an epistemology grew out of ethnographic observation and cybernetic theory, and how this epistemology determines not only double bind theory and all the thinking that has followed in the field of psychiatry but also affects evolutionary thinking and the whole body-mind problem.
I have to present here a description of an epistemology, and then I have to fit the double bind hypothesis and thoughts about evolution into that epistemology. In a word, I have to invite the reader to come in backward upon the whole business.
From time to time I get complaints that my writing is dense and hard to understand. It may comfort those who find the matter hard to understand if I tell them that I have driven myself, over the years, into a “place” where conventional dualistic statements of mind-body relations—the conventional dualisms of Darwinism, psychoanalysis, and theology—are absolutely unintelligible to me. It is becoming as difficult for me to understand dualists as it is for them to understand me. And I fear that it’s not going to become easier, except by those others being slowly exercised in the art of thinking along those pathways that seem to me to be “straight.” My friends in New Guinea, the Iatmul, whose language and culture I studied, used to say, “But our language is so easy. We just talk.”
So in writing about evolution—in trying to write about it—a second book has started to appear. It became necessary to tell the reader a number of very elementary (as it seemed to me) things which he certainly ought to have learned in high school but which Anglo-Saxons certainly do not learn in high school. This book, budded from the first, larger book, I called, tentatively, What Every Schoolboy Knows, an ironic quote from Lord Macaulay. what the good gentleman really said was, “Every schoolboy knows who imprisoned Montezuma and who strangled Atahualpa.”
Let me start by trying to characterize my epistemology as it has grown under my hands, with some notable influence from other people.
First, it is a branch of natural history. It was McCulloch who, for me, pulled epistemology down out of the realms of abstract philosophy into the much more simple realm of natural history. This was dramatically done in the paper by McCulloch and his friends entitled “What the Frog’s Eye Told the Frog’s Brain.” In that paper he showed that any answer to the question “How can a frog know anything?” would be delimited by the sensory machinery of the frog; and that the sensory machinery of the frog could, indeed, be investigated by experimental and other means. It turned out that the frog could only receive news of such moving objects as subtended less than ten degrees at the eye. All else was invisible and produced no impulses on the optic nerve. From this paper it followed that, to understand human beings, even at a very elementary level, you had to know the limitations of their sensory input.
And that matter became part of my experience when I went through the experiments of Adelbert Ames, Jr. I discovered that when I see something, or hear a sound, or taste, it is my brain, or perhaps I should better say “mind”—it is I who create an image in the modality of the appropriate sense organ. My image is my aggregation and organization of information about the perceived object, aggregated and integrated by me according to rules of which I am totally unconscious. I can, thanks to Ames, know about these rules; but I cannot be conscious of the process of their working.
Ames showed me that I (and you), looking through our eyes, create, out of showers of impulses on the optic nerve, images of the perceived that appear to be three-dimensional images. I “see” an image in depth. But the way in which that image is given depth depends upon essentially Euclidian arguments within the brain and of which the perceiver is unconscious. It is as if the perceiver knew the premises of parallax and created his image in accordance with those rules, never letting himself know at any conscious level that he has applied the rules of parallax to the shower of impulses. Indeed, the whole process, including the shower of impulses itself, is a totally unconscious business.
It seems to be a universal feature of human perception, a feature of the underpinning of human epistemology, that the perceiver shall perceive only the product of his perceiving act, He shall not perceive the means by which that product was created. The product itself is a sort of work of art.
But along with this detached natural history, in which 1, as an epistemology, describe the frog or myself—along with that natural history goes a curious and unexpected addition. Now that we have pulled epistemology down from philosophy and made it a branch of natural history, it becomes necessarily a normative branch of natural history. This study is normative in the sense that it will chide us when we ignore its strictures and regularities. One had not expected that natural history could be normative, but indeed, the epistemology which I am building for you is normative in two almost synonymous ways. It can be wrong, or I can be wrong about it. And either of those two sorts of error becomes itself part of any epistemology in which it occurs. Any error will propose pathology. (But I am the epistemology.)
Take the statement in a previous paragraph, The organism builds images in depth out of the shower of impulses brought to the brain by the optic nerve. It is possible that this statement is incorrect, that future scientific study of the act of perception may show that this is not so, or that its syntax is inappropriate. That is what I mean by being in error in the first way. And the second way of possible error would be to believe that the images that I see are in fact that which I am looking at, that my mental map is the external territory. (But we wander off into philosophy if we ask, “Is there really a territory?”)
And then there is the fact that the epistemology I am building is monistic. Applying Occam’s Razor, I decline to pay attention to notions—which others assert to be subjectively supported—that mind or soul is somehow separable from body and from matter. On the other hand, it is absolutely necessary, of course, that my epistemology shall allow for the natural history fact that, indeed, many human beings of many different cultures have the belief that the mind is indeed separable from the body. Their epistemology is either dualistic or pluralistic. In other words, in this normative natural history called epistemology there must be a study of errors, and evidently certain sorts of error are predictably common. If you look over the whole span of my work, starting with the notion of schismogenesis, or starting even with the patterns in partridge feathers and going from that to schismogenesis in New Guinea to end linkage in national character, to the double bind and to the material we got from the porpoises, you will see that up to a certain date my language of report is dualistic.
The double bind work was for me a documentation of the idea that mind is a necessary explanatory principle. Simple nineteenth-century materialism will not accept any hierarchy of ideas or differences. The world of mindlessness, the Pleroma, contains no names, no classes.
It is here that I have always in my thinking followed Samuel Butler in his criticisms of Darwinian evolution. It always seems to me that the Darwinian phrasings were an effort to exclude mind. And indeed that materialism in general was an effort to exclude mind. And therefore, since materialism is rather barren, it was hardly surprising to me as an epistemological naturalist to note that physicists, from William Crookes onward, have been prone to go to mediums and other tricksters. They needed solace in their materialism.
But the matter was always difficult. I could not tolerate the dualism seriously, and yet I knew that the narrow materialistic statement was a gross oversimplification of the biological world. The solution came when I was preparing the Korzybski Lecture, when I suddenly realized that of course the bridge between map and territory is difference. It is only news of difference that can get from the territory to the map, and this fact is the basic epistemological statement about the relationship between all reality out there and all perception in here: that the bridge must always be in the form of difference. Difference, out there, precipitates coded or corresponding difference in the aggregate of differentiation which we call the organism’s mind. And that mind is immanent in matter, which is partly inside the body—but also partly “outside,” e.g., in the form of records, traces, and perceptibles.
Difference, you see, is just sufficiently away from the grossly materialistic and quantitative world so that mind, dealing in difference, will always be intangible, will always deal in intangibles, and will always have certain limitations because it can never encounter with Immanuel Kant called the Ding an Sich, the thing in itself. It can only encounter news of boundaries—news of the contexts of difference.
It is worthwhile to list several points about “difference” here,
1. A difference is not material and cannot be localized. If this apple is different from that egg, the difference does not lie in the apple or in the egg, or in the space between them. To locate difference, i.e., to delimit the context or interface, would be to posit a world incapable of change. Zeno’s famous arrow could never move from a position “here” in this context to a position “there” in the next context,
2. Difference cannot be placed in time. The egg can be sent to Alaska or can be destroyed, and still the difference remains. Or is it only the news of the difference that remains? Or is the difference ever anything but news? With a million differences between the egg and the apple, only those become information that make a difference.
3. Difference is not a quantity. It is dimensionless and, for sense organs, digital. It is delimited by threshold.
4. Those differences, or news of differences, which are information, must not be confused with “energy.” The latter is a quantity with physical dimensions (Mass X the square of a Velocity). It is perfectly clear that information does not have dimensions of this kind*; and that information travels, usually, where energy already is. That is, the recipient, the organism receiving information—or the end organ or the neuron—is already energized from its metabolism, so that, for example, the impulse can travel along the nerve, not driven by the energy, but finding energy ready to undergo degradation at every point of the travel. The energy is there in advance of the information or the response. This distinction between information and energy becomes conspicuous whenever that which does not happen triggers response in an organism. I commonly tell my classes that if they don’t flu] in their income tax forms the Internal Revenue people will respond to the difference between the forms which they don’t fill in and the forms which they might have filled in. Or your aunt, if you don’t write her a letter, will respond to the difference between the letter you do not write and the letter you might have written. A tick on the twig of a tree waits for the smell of butyric acid that would mean “mammal in the neighborhood.” When he smells the butyric acid, he will fall from the tree. But if he stays long enough on the tree and there is no butyric acid, he will fall from the tree anyway and go to climb up another one. He can respond to the “fact” that something does not happen.
(* But, of course, a difference in energy (not itself of the dimensions of energy) can generate news of difference.)
5. Last in regard to information, and the identity between information and news of difference, I want to give a sort of special honor to Gustav Fechner, who in the 1840s got a whiff of this enormously powerful idea. It drove him almost mad, but he is still remembered and his name is still carried in the Weber-Fechner Law. He must have been an extraordinarily gifted man, and a very strange one.
To continue my sketch of the epistemology that grew out of my work, the next point is recursiveness. Here there seem to be two species of recursiveness, of somewhat different nature, of which the first goes back to Norbert Wiener and is well known, the “feedback” that is perhaps the best-known feature of the whole cybernetic syndrome. The point is that self-corrective and quasi purposive systems necessarily and always have the characteristic that causal trains within the system are themselves circular. Such causal trains, when independently energized, are either self-corrective or runaway systems. In the wider epistemology, it seems that, necessarily, a causal train either in some sense dies out as it spreads through the universe, or returns to the point from which it started. In the first case there is no question of its survival. In the second case, by returning to the place from which it started, a subsystem is established which, for greater or less length of time, will necessarily survive.
The second type of recursiveness has been proposed by Varela and Maturana. These mathematicians discuss the case in which some property of a whole is fed back into the system, producing a somewhat different type of recursiveness, for which Varela has worked out the formalisms. We live in a universe in which causal trains endure, survive through time, only if they are recursive. They “survive”—i.e., literally live upon themselves—and some survive longer than others.
If our explanations or our understanding of the universe is in some sense to match that universe, or model it, and if the universe is recursive, then our explanations and our logics must also be fundamentally recursive.
And finally there is the somewhat disputed area of “levels.” For me the double bind, among other things, as a phenomenon of natural history, is strong evidence that, at least in the natural history aspects of epistemology, we encounter phenomena that are generated by organisms whose epistemology is, for better or for worse, structured in hierarchic form. It seems to me very clear and even expectable that end organs can receive only news of difference. Each receives difference and creates news of difference; and, of course, this proposes the possibility of differences between differences, and differences that are differently effective or differently meaningful according to the network within which they exist. This is the path toward an epistemology of gestalt psychology, and this clumping of news of difference becomes especially true of the mind when it, in its characteristic natural history, evolves language and faces the circumstance that the name is not the thing named, and the name of the name is not the name. This is the area in which I’ve worked very considerably in constructing a hypothetical hierarchy of species of learning.
These four components, then, give you the beginnings of a sketch of an epistemology:
1. That message events are activated by difference.
2. That information travels in pathways and systems that are collaterally energized (with a few exceptions where the energy itself in some form, perhaps a light, a temperature, or a motion, is the traveling information). The separation of energy is made clear in a very large number of eases in which the difference is fundamentally a difference between zero and one. In such eases, “zero-not-one” can be the message, which differs from “one-not-zero.”
3. A special soft of holism is generated by feedback and recursiveness.
4. That mind operates with hierarchies and networks of
difference to create gestalten.
I want to make clear that there are a number of very important statements that are not made in this sketch of an epistemology and whose absence is an important characteristic. I said above that, as I see it and believe it, the universe and any description of it is monistic; and this would imply a certain continuity of the entire world of information. But there is a very strong tendency in Western thinking (perhaps in all human thinking) to think and talk as if the world were made up of separable parts.
All peoples of the world, I believe, certainly all existing peoples, have something like language and, so far as I can understand the talk of linguists, it seems that all languages depend upon a particulate representation of the universe. All languages have something like nouns and verbs, isolating objects, entities, events, and abstractions. In whatever way you phrase it, “difference” will always propose delimitations and boundaries. If our means of describing the world arises out of notions of difference (or what G. Spencer Brown’s Laws of Form calls “distinction” and “indication”), then our picture of the universe will necessarily be particulate. It becomes an act of faith to distrust language and to believe in monism. Of necessity we shall still split our descriptions when we talk about the universe. But there may be better and worse ways of doing this splitting of the universe into nameable parts.
Finally, let me try to give you an idea of what it felt like, or what sort of difference it made, for me to view the world in terms of the epistemology that I have described to you, instead of viewing it as I used to and as I believe most people always do.
First of all, let me stress what happens when one becomes aware that there is much that is our own contribution to our own perception. Of course I am no more aware of the processes of my own perception than anybody else is. But I am aware that there are such processes, and this awareness means that when I look out through my eyes and see the redwoods or the yellow flowering acacia of California roadsides, I know that I am doing all sorts of things to my percept in order to make sense of that percept. Of course I always did this, and everybody does it. We work hard to make sense, according to our epistemology, of the world which we think we see.
Whoever creates an image of an object does so in depth, using various cues for that creation, as I have already said in discussing the Ames experiments. But most people are not aware that they do this, and as you become aware that you are doing it, you become in a curious way much closer to the world around you. The word “objective” becomes, of course, quite quietly obsolete; and at the same time the word “subjective,” which normally confines “you” within your skin, disappears as well. It is, I think, the debunking of the objective that is the important change. The world is no longer “out there” in quite the same way that it used to seem to be.
Without being fully conscious or thinking about it all the time, I still know all the time that my images—especially the visual, but also auditory, gustatory, pain, and fatigue—1 know the images are “mine” and that I am responsible for these images in a quite peculiar way. It is as if they are all in some degree hallucinated, as indeed they partly are. The shower of impulses coming in over the optic nerve surely contains no picture. The picture is to be developed, to be created, by the intertwining of all these neural messages. And the brain that can do this must be pretty smart. It’s my brain. But everybody’s brain-any mammalian brain—can do it, I guess.
I have the use of the information that that which I see, the images, or that which I feel as pain, the prick of a pin, or the ache of a tired muscle—for these, too, are images created in their respective modes—that all this is neither objective truth nor is it all hallucination. There is a combining or marriage between an objectivity that is passive to the outside world and a creative subjectivity, neither pure solipsism nor its opposite.
Consider for a moment the phrase, the opposite of solipsism. In solipsism, you are ultimately isolated and alone, isolated by the premise “I make it all up.” But at the other extreme, the opposite of solipsism, you would cease to exist, becoming nothing but a metaphoric feather blown by the winds of external “reality.” (But in that region there are no metaphors!) Somewhere between these two is a region where you are partly blown by the winds of reality and partly an artist creating a composite out of the inner and outer events.
A smoke ring is, literally and etymologically, introverted. It is endlessly turning upon itself, a torus, a doughnut, spinning on the axis of the circular cylinder that is the doughnut. And this turning upon its own in-turned axis is what gives separable existence to the smoke ring. It is, after all, made of nothing but air marked with a little smoke. It is of the same substance as its “environment.” But it has duration and location and a certain degree of separation by virtue of its in-turned motion. In a sense, the smoke ring stands as a very primitive, oversimplified paradigm for all recursive systems that contain the beginnings of self-reference, or, shall we say, selfhood.
But if you ask me, “Do you feel like a smoke ring all the time?” of course my answer is no. Only at very brief moments, in flashes of awareness, am I that realistic. Most of the time I still see the world, feel it, the way I always did. Only at certain moments am I aware of my own introversion. But these are enlightening moments that demonstrate the irrelevance of intervening states.
And as I try to tell you about this, lines from Robert Browning’s “Grammarian’s Funeral” keep coming to mind.
Yea, this in him was the peculiar grace . . .
That before living he learned how to live.
Or again,
He settled Hoti’s business—let it be! —
Properly based Oun—
Gave us the doctrine of the enclitic De,
Dead from the waist down.
And again, there is the misquotation that is going the rounds today,
A man’s reach should exceed his grasp,
Or what’s a meta for?
I’m afraid this American generation has mostly forgotten “The Grammarian’s Funeral” with its strange combination of awe and contempt.
Imagine, for a moment, that the grammarian was neither an adventurous explorer, breaking through into realms previously unexplored, nor an intellectual, withdrawn from warm humanity into a cold but safe realm. Imagine that he was neither of these, but merely a human being rediscovering what every other human being and perhaps every dog—always instinctively and unconsciously —knew: that the dualisms of mind and body, of mind and matter, and of God and world are all somehow faked up. He would be terribly alone. He might invent something like the epistemology I have been trying to describe, emerging from the repressed state, which Freud called “latency,” into a more-or-less distorted rediscovery of that which had been hidden. Perhaps all exploration of the world of ideas is only a searching for a rediscovery, and perhaps it is such rediscovery of the latent that defines us as “human,” “conscious,” and “twice born.” But if this be so, then we all must sometimes hear St. Paul’s “voice” echoing down the ages: “It is hard for thee to kick against the pricks.”
I am suggesting to you that all the multiple insults, the double binds and invasions that we all experience in life, the impact (to use an inappropriate physical word) whereby experience corrupts our epistemology, challenging the core of our existence, and thereby seducing us into a false cult of the ego—what I am suggesting is that the process whereby double binds and other traumas teach us a false epistemology is already well advanced in most occidentals and perhaps most orientals, and that those whom we call “schizophrenics” are those in whom the endless kicking against the pricks has become intolerable.
| GREGORY |
Born May 9, 1904, Grantchester, England, son of William Bateson, F.R.S. Naturalized U.S. citizen February 7, 1956.
1917-21
Student, Charterhouse, England.
1922-26
Cambridge University. Entrance Scholar St. John’s College, 1922, Foundation Scholar, 1924; Natural Science Tripos, first class honors, 1924. Anthropologist Tripos, first class honors, 1926.
B.A., 1925, Natural Science.
MA., 1930 Anthropology.
1927-29
Anthony Wilkin Student of Cambridge University. The period of this studentship was spent in anthropological fieldwork in New Britain and New Guinea.
1931-37
Fellow of St. John’s College, Cambridge.
1931-33, Anthropological fieldwork, New Guinea, financed jointly by Fellowship and by the Royal Society.
1934, Visit to the United States. Lectured at Columbia and Chicago.
1936, Married Margaret Mead (divorced, 1950). One daughter.
1936-38, Anthropological fieldwork, Bali.
1938-39
Anthropological fieldwork, New Guinea.
1939
Brief fieldwork, Bali.
1940 Entered the United States as a resident.
1941
Film analysis with the Museum of Modern Art, New York City.
1942-45
Office of Strategic Services of the U.S. Government. Overseas in Ceylon, India, Burma, and China.
1946-47
Visiting Professor, New School for Social Research, New York.
1947-48
Visiting Professor, Harvard University, Cambridge, Massachusetts.
1947
Guggenheim Fellow.
1948-49
University of California Medical School. Research Associate with Dr. Jurgen Ruesch.
1949-to date
Ethnologist at Veteran’s Administration Hospital, Palo Alto, California. Engaged in teaching and research on the borderline fields of anthropology, psychiatry, and cybernetics.
1951-to date
Part-time Visiting Professor, Stanford University, in the Department of Anthropology.
1952-54
Director, Research Project on the Role of the Paradoxes of Abstraction in Communication, under a grant from the Rockefeller Foundation.
1954-59
Director, Research Project on Schizophrenic Communication, under a grant from the Josiah Macy, Jr., Foundation.
1959-62
Principal Investigator, Research in Family Psychotherapy, under a grant from the Foundation’s Fund for Research in Psychiatry.
Part-time Professor, California School of Fine Arts, San Francisco, California.
1961
Frieda Fromm-Reichmann Award for research in schizophrenia.
1963-64
Associate Director, Communication Research Institute, St. Thomas, U.S. Virgin Islands.
1964
Career Development Award, National Institute of Mental Health.
1965
Associate Director for Research, Oceanic Institute, Waimanalo, Hawaii.
1972
Visiting Professor, University of California at Santa Crux, Santa Cruz, California.
1976 Member, Board of Regents, University of California.
Balinese Character: A Photographic Analysis. Special Publications of the New York Academy of Sciences, vol. 2. New York: New York Academy of Sciences, 1942. With Margaret Mead.
Communication: The Social Matrix of Psychiatry. New York: W. W. Norton, 1951. With Jurgen Ruesch.
Mind and Nature: A Necessary Unity. New York: Bantam Books, 1980; Hampton Press, 2002.
Naven: A Survey of the Problems Suggested by a Composite Picture of the Culture of a New Guinea Tribe Drawn from Three Points of View. Cambridge: Cambridge Univ. Press, 1936. 2d ed., with “Epilogue 1958.” Stanford: Stanford Univ. Press, 1965.
Perceval’s Narrative: A Patient’s Account of His Psychosis, 1830-1832, by John Perceval. Edited with an Introduction by Gregory Bateson. Stanford: Stanford Univ. Press, 1961.
A Sacred Unity: Further Steps to an Ecology of Mind. New York: HarperCollins Publishers, 1991.
Steps to An Ecology of Mind: Collected Essays in Anthropology, Psychiatry, Evolution, and Epistemology. New York: Ballantine Books, 1972; University of Chicago Press, 2000.
BIBLIOGRAPHY
of Selected Works about Gregory Bateson
About Bateson. Edited by John Brockman with an Afterword by Gregory Bateson. New York: E. P. Dutton, 1977.
Our Own Metaphor: A Personal Account of a Conference on the Effects of Conscious Purpose on Human Adaptation. By Mary Catherine Bateson. New York: Harper Collins, 1972; Hampton Press, 2004.
Gregory Bateson: The Legacy of a Scientist. By David Lipset, Boston: Beacon Press, 1982.
With a Daughter’s Eye: A Memoir of Margaret Mead and Gregory Bateson, by Mary Catherine Bateson. New York: Harper Collins, 1984/2001.
Beyond Edge
Você precisa fazer login para comentar.